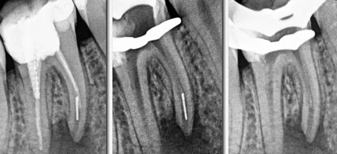
Эндодонтическое
Текст для техники чтения 6
Контроллер устройства ввода вывода это
Минус 273
Fatal error cs2 steamworks sdk
Поздравление с днем свадьбы молодых от родителей
Чуковский банк
Нагаторо сенпай
Биология 5 класс лабораторная работа стр 36
Кукольный дом дети
2 овогенез фазы
Write the nationality jane is from britain
Зажигание д 243
Электронная подпись на сайте школы
Эндодонтическое 111 фотографий









































































































