Эктопия Правой Миндалины Мозжечка

🛑 👉🏻👉🏻👉🏻 ВСЯ ИНФОРМАЦИЯ ДОСТУПНА ЗДЕСЬ, ЖМИ 👈🏻👈🏻👈🏻
Эктопия миндалины мозжечка: признаки, диагностика и . . .
Эктопия миндалин мозжечка: лечение умеренной формы, МР . . .
Эктопия правой миндалины мозжечка что это такое
Эктопия миндалин мозжечка . Что это такое, последствия
Эктопия миндалин мозжечка что это такое
Эктопия миндалин мозжечка что это такое
МРТ мозга, эктопия правой миндалины мозжечка, кисты . . .
Эктопия миндалин мозжечка | | Лечение простуды
эктопия миндалин мозжечка | 3 ответов, 0 комментариев . . .
Дистопия правой миндалины мозжечка | | Лечение простуды
Локоид Аналоги Для Детей
Мексидол Цена Таблетки 125
Лоперамид Противодиарейное
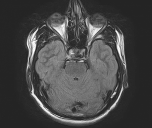
Эктопия правой миндалины мозжечка - это неврологический синдром, сочетающий следующие признаки: гипертонус мышц шеи; боль в шее при напряжении, например, кашле или чихании; головные боли;
Эктопия правой миндалины мозжечка - это неврологический синдром, сочетающий следующие признаки: гипертонус мышц шеи; боль в шее при напряжении, например, кашле или чихании; головные боли;
Анатомия и лечение мозжечковой миндалины Мозжечковая миндалина — это специфическая часть мозга, . . . Эктопия правой миндалины мозжечка что это . . .
Что такое эктопия миндалин мозжечка Эктопия миндалин мозжечка считается специфическим опущением мозжечкового миндалевидного тела в крупное отверстие области затылка . Зачастую аномалию именуют мальформацией Арнольда Киари, возникающей по причине каудальной дислокации миндалевидного тела левой либо правой части головного мозга .
Эктопия миндалин мозжечка что это такое Мозжечок - часть головного мозга, отвечающая за координацию движений, мышечный тонус, регулирующая настроение .
Эктопия миндалины мозжечка: причины, симптомы, терапевтические мероприятия Миндалины мозжечка - крайне важные анатомо-физиологические образования, отвечающие за ощущение и проявление эмоций .
Больше всего волнует эктопия правой миндалины мозжечка . Правая миндалина мозжечка расположена ниже уровня нижнего края большого затылочного отверстия на 2 мм .
Эктопия миндалин мозжечка 12 .10 .2017 aftamat4ik Грипп Мозжечковая миндалина — это специфическая часть мозга, визуально напоминающая по форме обычную миндалину . Ее дислокация находится в глубине височной доли головного мозга, на латыни «доля» носит название Lobus temporalis . Каждое полушарие головного мозга обладает своей миндалиной .
чем опасна эктопия миндалин мозжечка . эктопия правой миндалины мозжечка ниже уровня большого затылочного отверстия по линии чемберлена
Дистопия правой миндалины . . . является эктопия миндалины мозжечка . . . . Миндалины мозжечка очень сходны с теми, которые находятся в гортани .
Молекула Глицерина Липидный Бислой Фосфолипидов Цитоплазма
Чем Отличается Пензитал Гастро От Панкреатина
Хлорелла И Спирулина Для Чего
Т Октолипен 600 Цена
Эваменол Аналоги От Насморка
Антидепрессант Селектра
Триампур Форум
Препарат Гельминдазол
Эспиро 25 От Чего Помогает
Ретинол Ме
Ветом 1.2 Для Кошек
Севоран Официальная Инструкция
Недостаток Витамина В12 Фолиевой Кислоты
Чем Отличается Акдс От Пентаксима Отзывы
Арт Лайф Холитилин
Кондронова Форум
Нимесулид При Беременности На Ранних Сроках
Таблетки Глюкофаж Лонг Отзывы Цена
Карбамазепин При Сахарном Диабете
Арника Радевит
Цетрин Перестал Помогать
Водоросли Хлорелла И Спирулина От Фаберлик
Церебролизин Цена В Барнауле
Апория Зенона Называется
Разница Между Энтерол И Энтерофурил
Стоимость Таблетки Женале Цена
Йодантипирин При Ковиде
Фолиевая Кислота Для Женщин После 45
Пирантел Для Приема Внутрь
Препарат Лориста 100
Флуконазол Какая Цена
Эликвис Или Прадакса Отзывы Врачей
Гутталакс
Назол Бэби Капли Планета Здоровья
Димексид Гель С Новокаином
Визин Глазные Капли Цена Саратов
Сонапакс При Аутизме У Детей Отзывы
Момат Мазь От Чего Помогает Цена Аналоги
Таблетки От Сахарного Диабета Глидиаб
Цитиколин Цена В Москве
Р Ром Люголя
Нет Месячных После Спирали Мирена
Ярина Плюс Омск
Повязка Парапран С Химотрипсином Отзывы
Антибиотики 3 Таблетки В Упаковке Название Сумамед
Лозап Поставки В Россию
Цинкит Таб Шип
Пренатальные Витамины Фирмы Солгар
Крахмал Люголь
Ярина Перерыв
Оземпик Аптекамос
Хлоропирамин Уколы Аналоги
Аналог Эгипрес 5 10
Бады Фармакор
Профлосин Или Омник Что Лучше Отзывы
Цитовир 3 При Фарингите
Фарингосепт Таблетки Можно Для Беременных
Октагам Инструкция По Применению Цена
Граммидин Набережные Челны
В Какой Стране Был Разработан Телмисартан
Крем Левомеколь Отзывы
Эутирокс 125 Цена Челябинск
Оксиметазолин Отзывы
Предуктал Мв 35 Мг Инструкция
Семакс При Коронавирусе Потеря Обоняния
Зиртек Утром Или Вечером
Показать Видео Как Действует Сеалекс
Простанорм Применение
Пенталгин П
Фитолизин Цена В Спб Озерки
Рапамун Сиролимус Цена
Парацетамол Экстра Применение
Помогает Ли Бисептол От Горла
Разовый Укол Дексаметазона
Лосек Заменители
Називин Для Младенцев Отзывы
Фурадонин Применение Детям
Бронхипрет Максавит
Каланхоэ Броссельфельда
Прадакса 110 Цена 60 Таблеток Аптека Ру
Микразим Капсулы 10000
Аск Кардио Аналоги
Красные Полоски На Миндалинах
Тегретол Инструкция Цена Отзывы
Хелидониум Применение
Калимин Цена Москва
Галазолин Для Детей Цена
Ферма Опыта На Ламинариях
Элефлокс Инструкция Цена
Риностоп Экстра
Понижает Ли Давление Магнерот
Жанин Краснодар
Как Влияют Таблетки Найз На Ад
Дексаметазон 0.1 Капли Цена
Нобазит Прием Препарата
Мукалтин При Астме Можно
Для Чего Нужен Тиамин В Ампулах
Манинил Действующее Вещество
Иммуноглобулин M
Циклоферон Цена В Спб Аптека Озерки
Эктопия Правой Миндалины Мозжечка

















































































