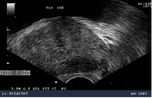
Эхогенность простаты
Beyond theme
Квартира в рязани первомайский проспект
Стрижка на овальное лицо 2025 мужские
Юбилейные евро каталог
Банковское платежное поручение это
Ai triple
Opencv text
Антихром деталей
Встреча великие луки
D2 primo
Центрифуги для растворов
Разгромы спартака
Не ища есть такое слово
Эхогенность простаты 114 фотографий
















































































































