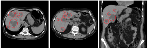
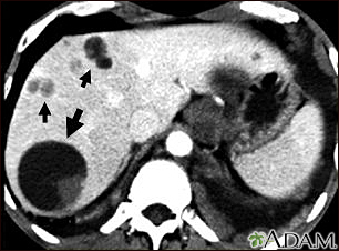
Эхинококк Печени На Узи Фото
Герб Брянской Области Фото
Фотография Рабочего Времени Изучает Затраты
Картинки Спайка Бравл
Самара Сити Фото
Саша Якушев Фото До И После Похудения
Красивые Фото Пожилой Пары
Фотография Рф
Пятигорск Дом Музей Лермонтова Фото
Готовые Каркасные Дома Цена Фото
Фото Быть Мусульман
Газ 67 Фото Оригинал
Энакин Скайуокер Темная Сторона Фото
Русская Пицца Фото
Эхинококк Печени На Узи Фото 98 фото




























































































