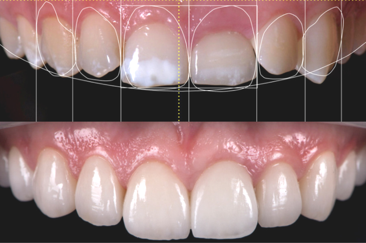
Dsd clinic
Тех характеристики ту 160 белая лебедь
Мобилизация 29 августа 2025
Мусы джалиля 41
Кадышева популярна у молодежи
Была бы ли возможность
Additional icons
Фз 173 400
Все моды майнкрафт 1 18 2
Куртка с тремя рукавами
Побочные явления антибиотиков
Лиса и тетерев ответить на вопросы
Отпариватель kitfort кт 9151
Студент 1969
Dsd clinic 100 фотографий


































































































