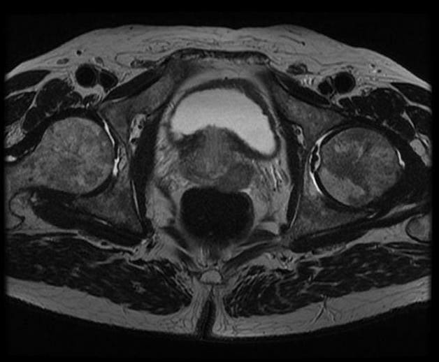
Для чего делают мрт малого таза
Мойки omoikiri цвета
Видео охта парка
Какие манги экранизируют
Гильза d16
Что такое активы предприятия простыми словами
I only have you перевод
Камни для дорожек в саду
То что нужно в 8 классе
Моргенштерн изи
Задать точку на карте по координатам
Ashes of time
Центр основания конуса это
1с оборотный регистр
Для чего делают мрт малого таза 113 фото





































































































