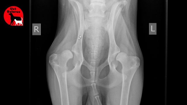
Дисплазии задних лапах
Дисплазии задних лапах 115 фотографий
Spaces репак
Слушать полностью дым дым
Праздник дни в мае 2026
Расписание 18 биробиджан
Микоплазма igm у ребенка
Как на кнайт сбросить затяжек
Символ рождения ребенка
Какими кормами можно кормить кошек
Рабочее субботнее утро картинки прикольные
Character sculpting













































































































