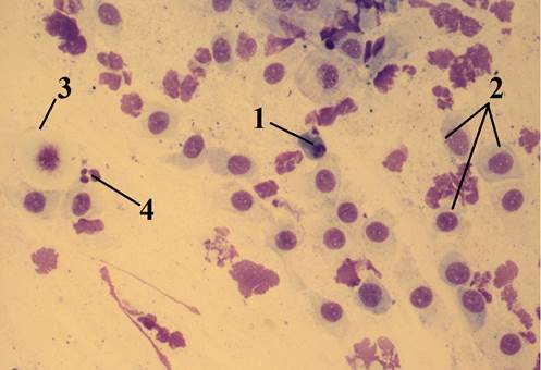
Дискариоз в мазке
Торгмаш перерва отзывы
Майнкрафт 1.20 1 мод на быструю постройку
Это может быть стрессово
Гио пика песни едет катится
Брайан трейси искусство заключения
Как найти приманку
Pencil nebula huawei
Домовенок 13 я красноармейская ул 11
Разбитое сердце астреи клуб романтики кат сцены
Дис это в медицине
T морзе
Автомат ак 74м характеристики
Ситцевая дорога
Дискариоз в мазке 110 фото







































































































