Девушка-стекло
Dr. TEOИстория женщины 28 лет начинается с 2014, когда ей был выставлен диагноз остеопороз (генез не указан) с назначением препарата аледроновой кислоты, которую она принимала вплоть до 2018 года, когда самостоятельно решила прекратить терапию.
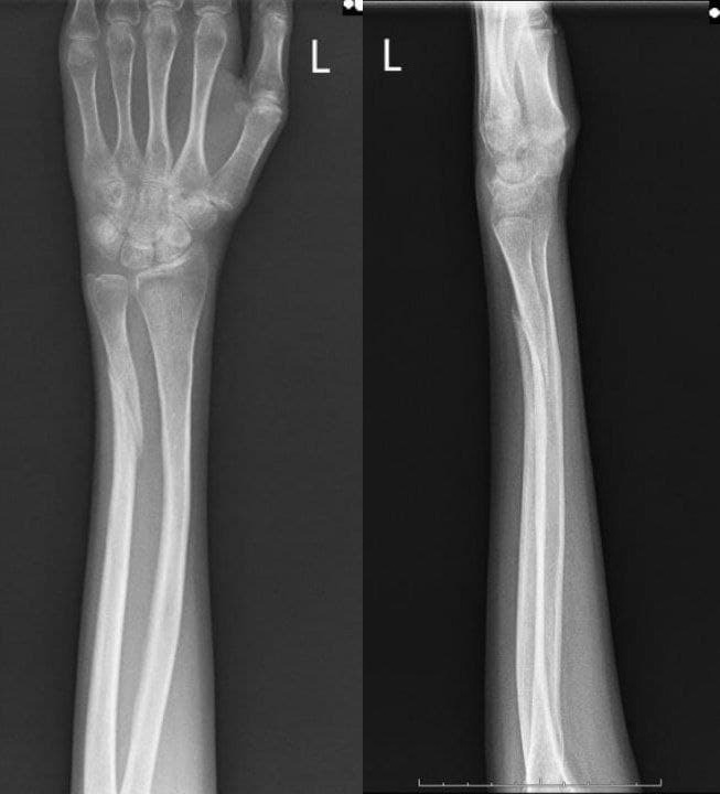
К нам в клинику пациентка обратилась в июне 2021 года для амбулаторного ведения, когда при резком торможении общественного транспорта ударилась левым предплечьем о поручень, с формированием резкой острой боли в руке. В травмпункте по месту жительства выявлен перелом дистального метаэпифиза левой локтевой кости, наложена гипсовая лонгета.
Принимая во внимание, что у пациентки имелось большое количество переломов костей верхних конечностей, а также периодические боли по ходу позвоночника, она решила обратиться для получения второго мнения.
С ее слов стало известно, что она переносила множественные переломы конечностей без адекватного травматического фактора. В связи с чем ей проводилось оперативное лечение перелома обеих плечевых костей, правой лучевой кости 2002, 2014 (в связи с чем ее и решили обследовать на остеопороз) и 2019 годах.
Со стороны травматологической составляющей принято решение о консервативном лечении перелома, пациентка сохраняла гипсовую иммобилизацию до 8й недели.С 8 по 12 недели переведена в съемный ортез. От операции решили воздержаться по причине допустимого смещения отломков и высокого риска нестабильности металлической конструкции (на основании денситометрии).
Если не погружаться в пучину многочисленных дополнительных обследований, которые ничего особого в соматическом состоянии не выявили (кроме признаков долихосигмы) и остановиться на осмотре, то можно сразу прийти к следующему:
Хабитус пациентки: восточной и модельной внешности девушка 170 см, весом 50 кг (ИМТ 17.3), астеничного телосложения. Общий фенотип производит впечатление марфаноидной внешности (долихоцефалия, умеренный энофтальм, арахнодактилия, удлинение конечностей). Но наиболее бросающимся и привлекающим внимание нашей команды стало наличие склер нежно-голубого оттенка, на обоих глазах пациентки.

Интересно последнее исследование минеральной плотности костной ткани от 02.06.21.
Т критерий : AP spine L1-L4 - 3.6, femur left -2.1, femur right -1.9, mean -2.

Рентгеновский снимок предплечья в гипсе в день первой встречи - виден перелом локтевой кости.

Рентген контроль сращения через 8 недель - видны признаки замедленной консолидации, допустимое угловое смещение отломков.

Рентген контроль сращения через 12 недель - признаки консолидирующегося перелома локтевой кости.
О диагнозе
При комбинации рецидивирующих низкоэнергетических переломов у молодой пациентки с голубыми склерами, первое о чем стоит о подумать это о несовершенном остеогенезе.
Несовершенный остеогенез (НО) - это наследственное орфанное заболевание соединительной ткани со многими фенотипическими проявлениями. Его часто называют «болезнью хрупкости костей». Пациенты с тяжелым поражением страдают множественными переломами с низкоэнергетической травмой или без нее, а младенцы с наихудшей формой НО умирают в перинатальном периоде. Легкие формы НО могут проявляться только преждевременным остеопорозом или тяжелым снижением минеральной плотности в костях в постменопаузе.
Почему голубые склеры?
Причина НО может быть установлена в большинстве случаев. У пациентов с выявленными молекулярными дефектами НО чаще всего вызывается мутациями в генах, кодирующих альфа 1 и альфа 2 цепи коллагена типа I или белков, участвующих в посттрансляционной модификации коллагена типа I.
Коллаген I типа является важным структурным белком для костей, сухожилий, связок, кожи и склер. Дефект коллагена I типа приводит к истончению склеры, тем самым позволяя увидеть более темную сосудистой оболочку глазного яблока.
Как диагностировать?
Большинство пациентов с НО имеют аутосомно-доминантную мутацию в цепи альфа 1 коллагена I типа (COL1A1) или в цепи альфа 2 коллагена I типа (COL1A2), которая влияет на структуру одного из двух альфа-цепи коллагена типа I. Тяжесть клинической картины зависит от эффекта мутации, которые приведены в таблицах ниже.
Наша пациентка ожидает молекулярно-генетическое исследование в ближайшие месяцы в рамках программ ОМС (что несколько затягивает ожидание). О результатах исследования мы обязательно сообщим отдельно.
Клинические аспекты стоит соотносить с радиографическими данными:
Так же такие пациенты имеют повышенную хрупкость крупных сосудов, что означает исключение мануальной терапии у таких пациентов, а также контроль гипертонии при ее наличии.
О лечении
Кроме препаратов направленных на подавление функции остеокластов, активно разрабатывается таргетная биологическая терапия.
По состоянию на 2021 год ни в Европейском Союзе, ни в Соединенных Штатах Америки для лечения НО не было одобрено лечение моноклональными антителами.
Среди изученных моноклональных антител - ромосозумаб (мишень для склеростина, от Amgen), фрезолимумаб (TGF-β, Sanofi), блозозумаб (склеростин, Lilly) и сетрусумаб (склеростин, Novartis).
Сетрусумаб, ранее известный как BPS-804, представляет собой моноклональное антитело, нацеленное на склеростин, и было изучено при НО больше, чем какие-либо другие. Считается, что снижение концентрации склеростина в организме может привести к образованию большего количества кости, и это предпосылка того, почему моноклональные антитела, снижающие концентрацию естественного склеростина, могут помочь укрепить костную ткань при НО.
В пресс-релизе от сентября 2020 года компания Mereo сообщила, что стремится провести в 2021 году испытание фазы III и получила от FDA статус редких детских заболеваний.
Ромосозумаб компании Amgen (торговая марка Evenity), который также представляет собой моноклональное антитело, нацеленное на склеростин, является одобренным препаратом в США и ЕС для лечения остеопороза. Клинические испытания по оценке эффективности ромосозумаба при ОИ начались в сентябре 2020 года и по состоянию на сентябрь 2021 года продолжаются.
О лечении пациентки
После молекулярно-генетического обследования и подтверждения диагноз мы планируем вести пациента на бисфосфонатах, предписать ортопедический режим и нагрузки. Вопрос о дополнительной терапии остается открытым до получения заключения генетиков.
О возможных прогнозах данных пациентов
В зависимости от типа мутации можно прогнозировать те или иные осложнения и ожидаемую продолжительность жизни. Данная группа помимо переломов подвержена патологиям сердечно-сосудистой системы, поэтому им показана профилактика ангиопатий (лечение и профилактика ГБ, наблюдение кардиолога)
В зависимости от типа генетический мутации которую мы обнаружим можно говорить также о рисках развития тугоухости (которого мы не обнаружили у данной пациентки).
Ожидаемая продолжительность жизни у мужчин с НО была на 9,5 лет меньше, чем у населения в целом (72,4 года против 81,9 года), а у женщин на 7,1 года меньше, чем у населения в целом (77,4 года против 84,5 лет).
Помимо самого НО, наиболее частыми причинами смерти как пациентов с НО, так и сравнительной популяции были сердечно-сосудистые заболевания и новообразования. Пациенты с НО имели повышенный риск смерти от респираторных заболеваний, желудочно-кишечных заболеваний и травм по сравнению с контрольной группой населения.