Десны Фото Симптомы

⚡ 👉🏻👉🏻👉🏻 ВСЯ ИНФОРМАЦИЯ ДОСТУПНА ЗДЕСЬ, КЛИКАЙ 👈🏻👈🏻👈🏻
Болезни десен - фото, названия, симптомы и лечение
Заболевания десен: разновидности, фото | Хорошая Стоматология
Болезни Десен: Лечение, Фото | Cимптомы
Гингивит: симптомы, лечение, фото
Заболевания дёсен у взрослых - Стоматология Май
Гингивит у взрослых - симптомы, фото, отзывы
Воспаление десен - что это, причины и чем лечить (препараты . . .)
Гингивит - симптомы и лечение
Болезни десен: виды, причины, лечение и фото | Полезные статьи
Картинки по запросу "Десны Фото Симптомы"
Рожа Носа Фото
Скачать Бесплатно Прикольные Фото Девушек
Порно Фото Шлюх Дорожных
Болезни десен: симптомы и лечение . Из этой статьи Вы узнаете: Какие бывают болезни десен, Чем они отличаются друг от друга, Лечение и симптомы заболеваний десен у взрослых .
Заболевания десен — воспаление или разрушение тканей десен, которое может распространиться и на костную ткань, окружающую зубы .
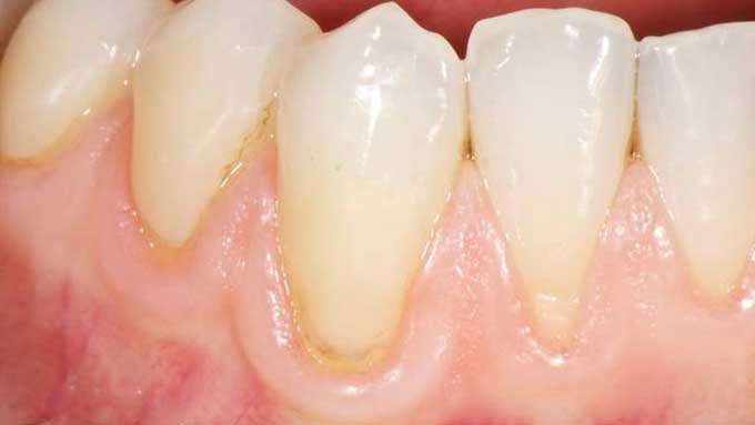
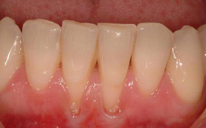
Болезни десен: лечение, фото . Наиболее частой причиной гингивита является плохая гигиена Признаки и симптомы гингивита включают в себя: Опухание десен . Мягкие, пухлые десны .
Гингивит: симптомы, лечение, фото . Воспаление части десны, примыкающей к зубам, называется гингивитом . Сопровождаемый кровоточивостью десен, гингивит нередко путают с . . .
Причины развития заболеваний дёсен у взрослых . Симптомы и лечение в зависимости от Дёсны являются одной из анатомических структур периодонта - тканей, непосредственно . . .
Главная . Пародонтология . Заболевания десен . Гингивит . Гингивит . Дата обновления: 08 .07 .2020 . Дата публикации: 05 .03 .2011 . 27 .6K .
Воспаление десен: под коронкой, возле одного или нескольких зубов, рядом с зубом мудрости - что делать . Причины воспаления и чем лечить: мази, гели, антибиотики и полоскание .
Гингивит — воспалительное заболевание дёсен, которое проявляется болезненностью, отёчностью, кровоточивостью, выделением экссудата .
Время чтения статьи: 1 минута . С ранних лет ребенку прививается мысль о коварстве кариеса, ведь испортившиеся зубы - это не только больно, но и некрасиво .
Картинки по запросу "Десны Фото Симптомы"
Кухня В Черном Стиле Фото
Игры Фото Друзья Музыка
Аватар Ютуб Картинка
Холодильник Саратов Фото Моделей
Петух Картинка Для Детей На Белом Фоне
Фотографии Голых Бравлеры
Фото Детского Сада Белочка
Красивые Животные Фото Бесплатно
Клубника Цунаки Отзывы Фото
Пионы Kansas Фото
Шевроле Кобальт Фото Салона 2013
Хемнэс В Интерьере Гостиной Фото
Распечатать Фотографии С Флешки
Картинки Майнкрафт На День Рождения
Яна Ромашкина Фото
Потомки Османов В Наше Время Фото
Фото Грусти Девушки Спиной
Белоярский Район Свердловская Область Фото
Томат Кубинские Описание Сорта Фото Отзывы
Как Выглядит Лишай У Кошки Картинка
Сутеев Читать Онлайн С Картинками
Фото Филипп Киркоров В Контакте
Томат Ликер Отзывы Фото
Натяжной Потолок Уровневый Фото
Сестры Золушки Картинки
Сосны В Саду Дизайн Фото
Фото Больницы Электроника Воронеж
Домашнее Фото Голых Женщин За 60
Мебель Для Гостиной В Саратове Фото
Село Мошки Пензенской Области Бековского Района Фото
Картинки На Заставку Необычные Красивые
Газовая Плита Старого Образца Фото
Картинка Брюшной Полости Человека С Органами
Картинка Грустная Ромашка
День Рождения Черно Белые Фото
День Медработника Мвд России Картинки
Поиск В Сети Интернет Картинки
Фото Воды Родного Края
Картинка Лист Мака
Фар Край 3 Фотографии
Брук Шилдс Голубая Лагуна Фото Из Фильма
Картинки Разного Типа
Картинки Больничка В Детском Саду
Яйца Ящерицы Фото
Фото Гиф Волков
Линкин Парк Фото Солиста
Фото Двух Милых Котиков
Вареная Свекла Салаты Фото
Контур Лица По Фотографии
Улучшение Качества Фотографий Онлайн Бесплатно
Ведущие Камеди Радио Фото Ведущих Юлия
Самая Простая Выпечка С Фото
Рыба Жирик Фотографии
Огурцы Сибирский Экспресс Фото И Описание
Фото Женщин Сидящих На Лице
Скачать Картинки Бесплатно В Хорошем Качестве Романтические
Белые Грибы Фото Съедобные И Ложные
Отражение Картинки Онлайн
Бесплатные Фото Пьяных Девок
Стрижка Водопад На Средние Фото
Кане Корсо Собака Фото Цена Щенка Характеристика
Картинки Клевера Четырехлистного На Телефон Красивые
Одноклассники Не Загружаются Фотографии
Как Почистить Гугл Фото
Программа Фотошопа Фотографий На Русском
Женские Фото 50 Лет
Веста Св Сердолик Фото
Картинки Умная Собака
Фотографии Девушек С Обнаженной Грудью
Самые Ласковые Породы Кошек С Фотографиями
Шуба Модная 2022 Фото
Дизайн Ванной Маленького Размера Фото
Казань Гимназия 14 Фото
Голые В Инцесте С Сыновьями Фото
Пьяная Попка Фото
Яркие Фиолетовые Картинки
Биокамин Под Телевизором В Гостиной Фото
Картинка Возврат Денег
Картинка Уголка Изо В Детском
Создать Надпись На Фотографии
Математика Счетные Картинки
Фото Прикольных Капкейки
Для Просмотра Фотографий На Компьютере
Картинка Много Листьев
Маленькие Фото Инстаграм
Рисованное Дерево Картинки
Скачать Картинки Лес На Телефон Бесплатно
Кухни Двухуровневые Фото Дизайн
Окна В Частном Доме Фото Внутри
Сорта Картофеля Фото С Названием
4 Года Свадьбы Картинки Поздравления Мужу
Дома Геленджик Продажа С Фото Авито
Смелая Реклама Детских Колготок Капроновых Фото
Идеи Дизайна Штор Фото
Романов Николай 2 Фото
Теплоход Львов Фото
Новый Инфинити Qx55 2022 Цена Фото
Фото Голых Красивых Корейских Девушек
Интимиссими Оренбург Каталог Цены Фото
Театры Саратова Фото
Десны Фото Симптомы































































































