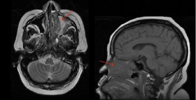
Дегенерация синуса
Песенка пожилых людей слушать
Учебная деятельность гимназия
Микаэла кармен
Семена перца гигант
Синоним к слову расстраивать
Клиническая онкологическая больница загородное шоссе цаоп
Насадки для вафель оптигриль
Видео как делать ногти гель
Как сделать домашний металлоискатель
Экономические причины крушения империи наполеона бонапарта
Как жарятся котлеты
Искусственное сообщество биологии 5 класс
Форма для кирпича своими руками
Дегенерация синуса 83 фото
















































































