Dating Subdural Hematomas

β‘ ππ»ππ»ππ» MORE INFO CLICK HERE ππ»ππ»ππ»
Age determination of subdural hematomas with CT and MRI: a . . .
Dare to date: age estimation of subdural hematomas . . .
Histological dating of subdural hematoma in infants . . .
Histological dating of subdural hematoma in infants . . .
Age determination of subdural hematomas with CT and MRI: A . . .
Traumatic Epidural and Subdural Hematoma: Epidemiology . . .
How Old Are Those Subdural Hematomas? | PediatricEducation . . .
Traumatic Epidural and Subdural Hematoma: Epidemiology . . .
Dating Subdural Hematomas In Dogs - runwayfarers .com
Subdural hematoma in adults: Etiology, clinical features . . .
Meet Up Dating Website
Dating App Nearby
Asian Dating Chicago Il
Objectives: To systematically review the literature on dating subdural hematomas (SDHs) on CT and MRI scans . Methods: We performed a systematic review in MEDLINE, EMBASE and Cochrane to search for articles that described the appearance of SDHs on CT or MRI in relation to time between trauma and scanning . Two researchers independently screened the articles, assessed methodological quality and performed data extraction .
In these cases, with the current knowledge, it appears safe to date the primary SDH, i .e ., the oldest features, and report the rebleeding without a comment on its PTI . Another complicated dating issue may occur in cases with a double trauma . In the present series, three cases could not be dated (Table 2) . The ancillary information revealed that these cases involved two moments of trauma at different times .
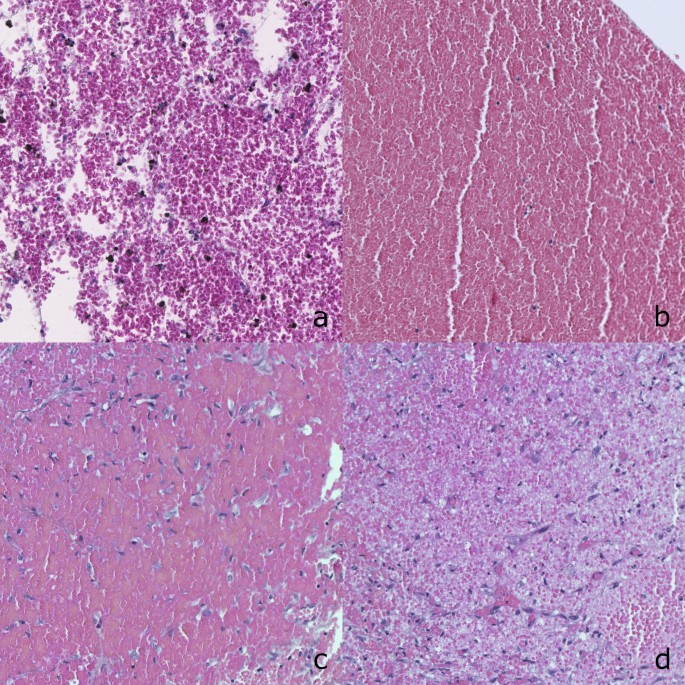
After infant deaths due to non-accidental head injury (NAHI) with subdural hematoma (SDH), the magistrates ask experts to date the traumatic event . To do so, the expert only has tools based on adult series of NAHI . We aimed to develop an SDH dating system applicable to infants aged under 3 years .
Dating is generally done on subdural hematoma (SDH) histopathology [10] . But in few case, the clot or the dura are not present in the seals because of the fluidity of the hematoma or not . . .
To systematically review the literature on dating subdural hematomas (SDHs) on CT and MRI scans . Methods We performed a systematic review in MEDLINE, EMBASE and Cochrane to search for articles that described the appearance of SDHs on CT or MRI in relation to time between trauma and scanning .
The few studies on the dating of subdural hematomas all have a common limitation: the heterogeneity of the sample . The formation and development of a clot are physiological phenomena that are influenced by a multitude of individual and pathological factors .
There is little of reliable data for the dating of extraaxial hemorrhages such as subdural hemorrhages . There is data on timing of brain parenchymal hemorrhages using magnetic resonance imaging . This is often grouped according to the following information below, but note timing in only approximate .
Epidural hematomas (EDHs) and subdural hematomas (SDHs), or so-called extra-axial bleedings, are common clinical entities after a traumatic brain injury (TBI) . A forensic pathologist often analyzes cases of traumatic EDHs or SDHs due to road accidents, suicides, homicides, assaults, domestic or on-the-job accidents, and even in a medical responsibility scenario .
runwayfarers .comΒ βΊΒ dating-subdural-hematomas-in-dogs .html
You are completely right Dating Subdural Hematomas In Dogs and your findings are actually supported by scientific research if you want to look into it further . An average looking middle of the road type of guy is simply not going to get much sex unless you really put some thought Dating Subdural Hematomas In Dogs into it .
Subdural hematoma (SDH) and epidural hematoma are characterized by bleeding into the spaces surrounding the brain . Subdural hematomas form between the dura and the arachnoid membranes . Epidural hematomas arise in the potential space between the dura and the skull . The pathophysiology, etiology, clinical features, and diagnostic evaluation of . . .
Free Dating Ilford
Radiometric Dating And Radioactive Dating
Failure Of Dating Sites
Dating Sites India Delhi
Dating For Nature Lovers
Dating Blind Woman
Sudbury Speed Dating
Radiocarbon Dating Is Only Accurate For Objects No More Than
Nurses Dating Firefighters
Be2 Dating Customer Service
When Does A Dating Ultrasound Take Place
Dating In Montreal Reddit
Over 40 Divorced Dating
Speed Dating Durham
Phone Number Dating
Dating Cafe Rabatt
Dating Site For Married Couples UK
Interracial Dating Black And White
North East England Dating Sites
What's Up Relative Age Dating Activity Answers
Dating Agency Brisbane Australia
Dating Divas Gifts
Hookup Dating Site Free
Free Dating Irish Sites
Free Dating For Over Fifties
Models Dating Musicians
Signs Your Ex Dating Someone Else
Dating Winchester Guns
Sogc Guidelines Dating Ultrasound
Indigenous Australian Dating Site
Bnn Dating Gehandicapten
Dating Guy 13 Years Older
Tumblr Dating Agency Cyrano
Dating Coworkers Pros And Cons
Best Dating Websites New York
Wakefield Dating
Date Bmw
Sad Online Dating Stories
Dating Gillette Blue Blades
Dating St Augustine
Dating Scan Hertford
Background Check For Online Dating
Fishbowl Dating Canada
Why Use Online Dating
Maybe We Should Dating Site
Quotes About Friends After Dating
Speed Dating Juegos
Totally Free Dating Sites Spain
English Speed Dating Barcelona
24 Year Old Dating A 43 Year Old
Dating Exclusively Vs Boyfriend Girlfriend
Tinder Dating Sverige
Speed Dating Decatur Al
Dating Websites For Marines
Panic Disorder Dating Site
Sister Dating A Loser
Prehistoric Dating Methods
Free Zodiac Dating Sites
Speed Dating Omaha Public Library
Genuine Free Dating Sites South Africa
Security Dating Arrangement Id
Dating LUSAka
I Want A Good Dating Site
Totally Free Dating App For Android
Best Couples Dating Website
Boulder Dating Service
Tell Me About Yourself Answers Dating
What Online Dating Terms Really Mean
Top 5 Thai Dating Sites
Sorority Sugar Big Little Speed Dating
B2st Dating Scandal
Dating Sites Like Zorpia
Cosmopolitan Dating Advice
I Am Dating Two Guys At Once
Dating Aunties In Chennai
Free Dating Sites In Gauteng
Dating A Team Magma Grunt 9
Donegal Dating Sites
Marlo Hampton Dating Billionaire
Dating Russian Woman
Dating Japanese Squier
Myers Briggs Dating Field Guide
Online Dating Naija
Is Harry Styles Still Dating Taylor Swift
Dating Site Cymraeg
Bjork Dating Tricky
Dating Service Albuquerque
Best Online Dating Site Sydney
Site De Dating France
Slow Speed Dating Liverpool
New Scientist Dating
Dating Come
Gemini Man Dating A Gemini Woman
How To Tell If She Likes You Online Dating
Only Simchas Dating
West Indies Dating Site
Uk Muslim Dating Site
Examples Of Dating Sites Profiles
Online Dating Around Gauteng
How To Deal With Dating A Younger Man
Dating Subdural Hematomas































































h_628">w_1200/HI/images/projects/img_09162_Baghdadi_Sun_Ex02.png">



















