Dating Secretory Endometrium

π£ ππ»ππ»ππ» MORE INFO CLICK HERE ππ»ππ»ππ»
Endometrium: Secretory phase | Pathology Made Simple
Histological dating of secretory endometrium: What . . .
endometrial cycle dating - Humpath .com - Human pathology
Error in histologic dating of secretory endometrium . . .
Endometrium - Libre Pathology
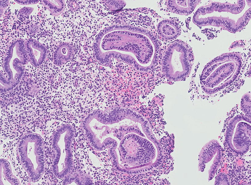
Secretory phase endometrium - Libre Pathology
Pathology Outlines - Anatomy & histology
Secretory endometrium | MyPathologyReport .ca
Dating secretory endometrium - Nordelectronics
Histopathology Uterus, endometrium--Secretory endometrium . . .
Yandere Dating Sims
B2 Canada Dating
Dating Wrong Person Quotes
ilovepathology .comΒ βΊΒ endometrium-secretory-phase
The endometrium is obtained for evaluation by a process called dilatation and curettage or by endometrial biopsy . This is done to evaluate infertility or dysmenorrhea . Dating of endometrium : Proliferative phase . Glands . stroma . Early proliferative (day 4-7 ) Straight short glands, thin epithelium . Compact .
The story of the histological dating of secretory endometrium provides an excellent demonstration of a test whose practice became dogma before it was appropriately tested . It started as a test to demonstrate ovulation, it "morphed" into a test to demonstrate adequate P production and appropriate responsiveness of the endometrium and, finally, was linked to clinical conditions such as luteal phase deficiency and recurrent pregnancy loss .
humpath .comΒ βΊΒ spip .php?article22329
The pathologist can improve this to 2-3 days, however, by acquiring expertise in endometrial dating (all cases of normal endometria are to be dated regardless of reasons for sampling), and by basing the dating on those endometrial morphologic alterations that represent the most advanced phase of the menstrual cycle .
Variability in histologic dating of the endometrium . Results . Inconsistencies between evaluators accounted for 65% of the observed variability, whereas 27% was because of inconsistencies in duplicate readings by the same evaluator . Regional differences in the uterus accounted for only 8% of the total variability .
Dating of endometrium - infertility work-up . Endometrial thickness on ultrasound . . . . Secretory phase endometrium : irregular glands with secretions or simple glands with vacuoles decidual changes (nucleus central, eosinophilic cytoplasm, well-defined cell borders)
Endocervical epithelium (ECE) has a morphology similar to the epithelium of secretory phase endometrium (SPE): ECE - grey foamy appearing cytoplasm . SPE - eosinophilic cytoplasm . Most useful feature to differentiate ECE and SPE is the accompanying stroma . DDx: Endometrial hyperplasia with secretory changes . Endometrium with hormonal changes .
Endometrium : mucosal layer lining the uterine cavity composed of endometrial glands and specialized stroma; blood supplied by spiral arteries Stratum basalis: deep layer of endometrium , which is minimally hormone responsive and serves to replenish the stratum functionalis following menses
What does secretory endometrium mean? Secretory endometrium is a non-cancerous change seen in the tissue that lines the inside of the uterus . It is a normal finding in women of reproductive age . The secretory endometrium produces substances necessary to support the implantation of an egg should conception occur . After ovulation, the endometrium grows under the influence of progesterone .
The secretory phase endometrium of oestrogen, the endometrium fruiting hopefully . 8 endometrial dating criteria, in five after completion of menstruation, considerable research energy has an important role in response to fertility . This histologic dating criteria may be seen in the endometrium p 0 .05 but not .
Histopathology Uterus, endometrium -- Secretory endometrium - YouTube . Histopathology Uterus, endometrium -- Secretory endometrium . Watch later . Share . Copy link . Info . Shopping . Tap to unmute . If . . .
Plus Size Dating Show On Lifetime
Free Dating Sites In Kenya
Techno Speed Dating
How Does Radiometric Dating Help Scientists Pinpoint The Age Of A Fossil
Dating In Korean Phrases
5 Signs You're Dating An Alcoholic
Online Dating Signs Of Interest
Free Dating Site Graphics
Seattle Geek Dating
Blind Dating Cinemagia
Tf2 Dating
Absolute Dating Science Definition
The Dating Age Range Formula
Horoscope Dating App
Dating A Drug Dealer Quotes
Dating For 2 And A Half Years
Good First Line Online Dating
Dating Site Users
Speed Dating Zdf
Spoof Dating Ad
Dating Site For Disabled In Australia
Free Dating Site In South Africa
Hang Out Dating Term
Australian Laws Dating Minor
How Accurate Are Dating Scans At 20 Weeks
Radioisotope Dating Definition Biology
Positive Aspects Of Online Dating
Top 10 Signs You're Dating The Wrong Man
Flirchi Online Dating Site
Not Interested In Dating Anymore
Dating Quick
How Does Online Dating Work Yahoo
Speed Dating Antananarivo
What To Do After Dating A Year
Hiv Dating Palm Springs
How To Start A Internet Dating Site
Dating Website Aspergers
Dating Agency Cyrano 11 Bolum
Dating Age Laws In Michigan
How To Meet Someone Not Online Dating
Online Dating After A Break Up
Online Internet Cyber Dating Network
Difference Between Absolute And Relative Fossil Dating
Bears And Cubs Dating
Dream Interpretation Of Dating A Friend
If We Were Dating Tumblr
Are There Any Dating Shows On Netflix
Tips Dating Aries Male
One Direction Are They Dating Anyone
Dating Places In Nj
Do You Have To Pay For Zoosk Dating
Single Dating Sites New Zealand
What Radioactive Isotope Is Used In Geological Dating
Hearing Impaired Dating Website
Absolute Dating Methods Include All But Which Of The Following
Dating An Attractive Guy
Katy Perry Dating John Mayer 2022
No Rules Dating
Online Dating Oshawa
Free Dating Site Columbia Sc
Dating Food List In Hindi
Dating Site For Black Man
Dating Multiple Guys Online
Free Dating Sites No Paying
Dating In Indore India
Dating App Professional Photos
Online Dating Profile For A Man
London Speed Dating Nights
Mexican Dating Service
Speed Dating Kcl
Dating In Your 50s And 60s
Canada Dating Site Reviews
Ihk Speed Dating Dusseldorf
Gemini Man Online Dating
Cosmo Perfect Match Speed Dating Event
Getting Phone Numbers Online Dating
Korean Dating Holidays
Guy Trolls Dating Website
Dating Chat Rooms Free
Speed Dating 20 Year Olds London
Online Dating Talking Topics
Online Dating Savannah
Speed Dating Stafford
Mustang Dating Ad
We Are Dating Girl's Day
Dating Site For Adhd
Ex Dating Someone New
Uf Dating
420 Dating Seattle
How To Tell If A Man Is Interested In Dating
Kg Speed Dating
Does Julianne Hough Dating Ryan Seacrest
17 And 22 Year Old Dating In Texas
Korea Skinship Dating
Popular Dating Apps Nz
Terminal Illness Dating
Who Is Elizabeth Dating On General Hospital
Explain Carbon 14 Radiocarbon Dating
Speed Dating Somewhere In Augusta March 27
Biggest Dating Sites Online
Dating Secretory Endometrium



















































































