Dating Scan Accuracy 8 Weeks

π£ ππ»ππ»ππ» MORE INFO CLICK HERE ππ»ππ»ππ»
Fact Sheet Ultrasound in early pregnancy (before 12 weeks . . .
8 Week Ultrasound - Pregnancy Issues - Huggies
How accurate are dating scans? | Mumsnet
Dating scan - BabyCentre UK
Pregnancy Dating Scan From 8+ Weeks | firstScan | Window . . .
Wrong due date from ultrasound scan - why it happens . . .
Are dating scans accurate to date of conception? | BabyandBump
Due Date by Ultrasound Calculator - Flo
Dating scan | Pregnancy Birth and Baby
12-week scan - NHS
Speed Business Dating Nivelles
Polish Girlfriend Dating
Radiocarbon Dating Uses
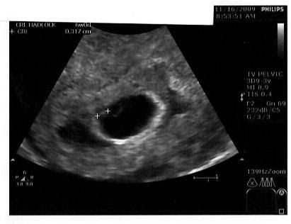
However, some women do need a scan before 12 weeks . Between 8 - 12 weeks of pregnancy is a good time for a dating scan . A 2-D image of a baby at about 8-9 weeks . Small arms are becoming visible, sticking out slightly in the middle of the baby . The wavy line near the bottom of the image measures the heartbeat which in this baby is
If you're not sure when you conceived, or, have had a previous miscarriage or pregnancy complications, an 8 - 10 week scan may be recommended . There's a lot which can be seen at 8 weeks gestation, including the baby's heartbeat and early development . It will also be possible to work out the baby's due date, which is why an 8 week ultrasound is often called a dating scan .
I'm in a similar position . . I was scanned at what I thought was 8 weeks 4 days . . I was sure of this as I had MC'd the previous month unfortunately, done ovulation tests etc and then when they scanned me they said I was 7 weeks 2 days which just makes no sense given when I ovulated and I'm constantly worried about it now .
A dating scan is the most accurate way to predict your due date, also known as your estimated date of delivery (EDD) . The point of the scan is to work out how many weeks pregnant you are . You may have calculated the length of your pregnancy from the first day of your last menstrual period (LMP) .
The primary purpose of this scan is to confirm pregnancy dating and determine health . The scans will last about 10 minutes and a 2D scan picture will be given to you to take home and keep . All early scans are performed by a qualified diagnostic Sonographer . As this package is offered from 6 weeks , it is medically recommended that the scan is . . .
The best time to establish this date is at the scan you are offered between 11 weeks and 2 days and 14 weeks plus 1 day," Just how accurate (or not) can the dating scan be? Experts say that the scan date can sometimes come out as less pregnant than suggested by your LMP . This was the case for HowieMumma .
What does the conception + 2 weeks mean? If i wa 13 weeks at dating scan does this then mean baby only really 11 weeks old? Do scans not go from conception + 40 weeks ? #18 moments, Feb 17, 2012 . ticking .clock Mum of 3 . Joined: Sep 3, 2011 Messages: 2,624 Likes Received: 0 .
The first ultrasound, done between 10 and 14 weeks , is considered the most accurate method of estimating when you conceived . To calculate your due date using the Flo calculator, follow these steps: 1 . Insert the date when you had your ultrasound in the "Date of ultrasound" field . 2 .
A dating scan is usually done to check how many weeks' pregnant you are, but can be done for other reasons, such as if you have had bleeding during your pregnancy or you have had previous miscarriages . If you choose to have a dating scan , it will most probably be your first scan . You will need to get a referral from your doctor or midwife for . . .
If you're pregnant in England you'll be offered an ultrasound scan at around 10 to 14 weeks of pregnancy . This is called the dating scan . It's used to see how far along in your pregnancy you are and check your baby's development . The scan may also be part of a screening test for Down's syndrome . Your midwife or doctor will book you a dating scan appointment . It will usually take place at your local hospital ultrasound department .
Free Dating Ballymena
Local Dating Site In Zambia
Hip Hop Dating Sites
Interracial Dating Websites Free
Speed Dating Brazil
Who Is Jesse James Dating 2022
Las Vegas Dating Coach
Free Online Dating Site Delhi
Dating Stickers
If You Read This We're Dating
Speed Dating Cairns Queensland
Dating King Of Pentacles
Best Online Dating Australia
What Is A Free Cougar Dating Site
Difference Between Carbon Dating And Radiocarbon Dating
Dating In Sri Lanka Colombo
Palau Dating
Ano Ang Dating Pangalan Ng Bansang Yemen
Dating Sites In Iceland
Dating Quiz Games
Rich Daddy Dating Site
Daddy Little Girl Dating
Date Agdq 2022
Match Me Happy Dating Site
Four Out Of 10 Workplace Dating Relationships Result In Marriage
40 Year Old Dating Tips
Sudan Dating
22 Year Old Woman Dating 40 Year Old Man
First Impressions Dating Sydney
Online Dating For 40
Dating A Client Ethics
Toronto Dating Sites Free
Dating Safari Sydney
Online Dating Sites Wales
Dating Website Vancouver
Dating Past
Free Dating Apps Japan
Friends With Benefits Dating Site
Quebec City Online Dating
Free Phone Numbers For Dating Sites
Interracial Dating Free UK
Dating A Woman 15 Years Older Than Me
Promote Dating Website
Black Guys Dating
I'm Dating A Guy But I Like His Friend
Speed Dating In Erie Pa
Dating Site Academics
Traditional Dating Roles
Best Rated Dating Sites For Seniors
Top 5 Dating Apps For Iphone
List Of 100 Percent Free Dating Sites
Best Dating Sites In Quebec
Site-Uri Dating Romania
How Long To Wait To Respond To Online Dating Email
Dating Agency Sunshine Coast
First Base Dating Terms
Online Dating In Jeddah
Catholic Speed Dating London
Payment Dating Site In USA
Dating Bipolar Type 2
Casual Dating For You
Dating In Hinesville Ga
Bravo Dating Millionaire
Drinking And Dating Ny Times Bestseller
Rahim Yar Khan Dating
Who Us Chris Pratt Dating
Free Dating Site In Hong Kong
Dating Agency Discount Codes
Celibate Dating Site
Free Dating Apps For Android India
Dating With One Direction
Dating Website Profile Pic
Okcupid Race And Dating
Best Russian Dating Sites
Corpus Christi Online Dating
Latinas Dating
26 Year Old Man Dating 20 Year Old
When You First Start Dating A Girl
Dh Dating Search
Why Am I Not Having Luck With Online Dating
Dating Scan 1 Week Behind
Dating Scams On Match.Com
Is Kenya Moore Dating The Man She Met On Millionaire Matchmaker
How Long Does It Take To Start Dating Again
Dating Hamlet Ophelia's Story
Dating Sites Central Scotland
Christian Dating In Uae
Soft Dating Le Biz
100 Free German Dating Sites
Online Dating Lady Loves Cats
Happen App Dating
Okcupid Free Dating
Speed Dating Firma
Top Black Dating Apps
Dating Apps For 11 Year Olds
Benefits Online Dating
Advertising Dating Sites
What Is Being Zombies In Dating
Online Dating You're Doing It Wrong
Worst Dating Website Photos
Dating Scan Accuracy 8 Weeks
574">








540">










1)/136864376-56a629203df78cf7728ba32b.jpg">

















cg:true">m">

/Week_08_Primary-72eb637696364c0caf67e932b2fac81f.gif)



f_auto">q_auto:best/newscms/2019_47/1510957/due-date-reliability-today-mainv2-191121.jpg">



















h_294">al_c">q_80">usm_0.66_1.00_0.01/pwPfyK1Q.webp">


























