Dating Of Secretory Endometrium

๐๐ป๐๐ป๐๐ป MORE INFO CLICK HERE ๐๐ป๐๐ป๐๐ป
Endometrium: Secretory phase | Pathology Made Simple
Histological dating of secretory endometrium: What . . .
Secretory endometrium | MyPathologyReport .ca
Error in histologic dating of secretory endometrium . . .
endometrial cycle dating - Humpath .com - Human pathology
Secretory phase endometrium - Libre Pathology
Hormonal Pathology of the Endometrium | Modern Pathology
Pathology Outlines - Anatomy & histology
Dating secretory endometrium - Nordelectronics
My approach to the interpretation of endometrial biopsies . . .
Who Is Louis From One Direction Dating 2022
100 Percent Free Christian Dating Sites
Drake Ellen Show Dating
ilovepathology .comย โบย endometrium-secretory-phase
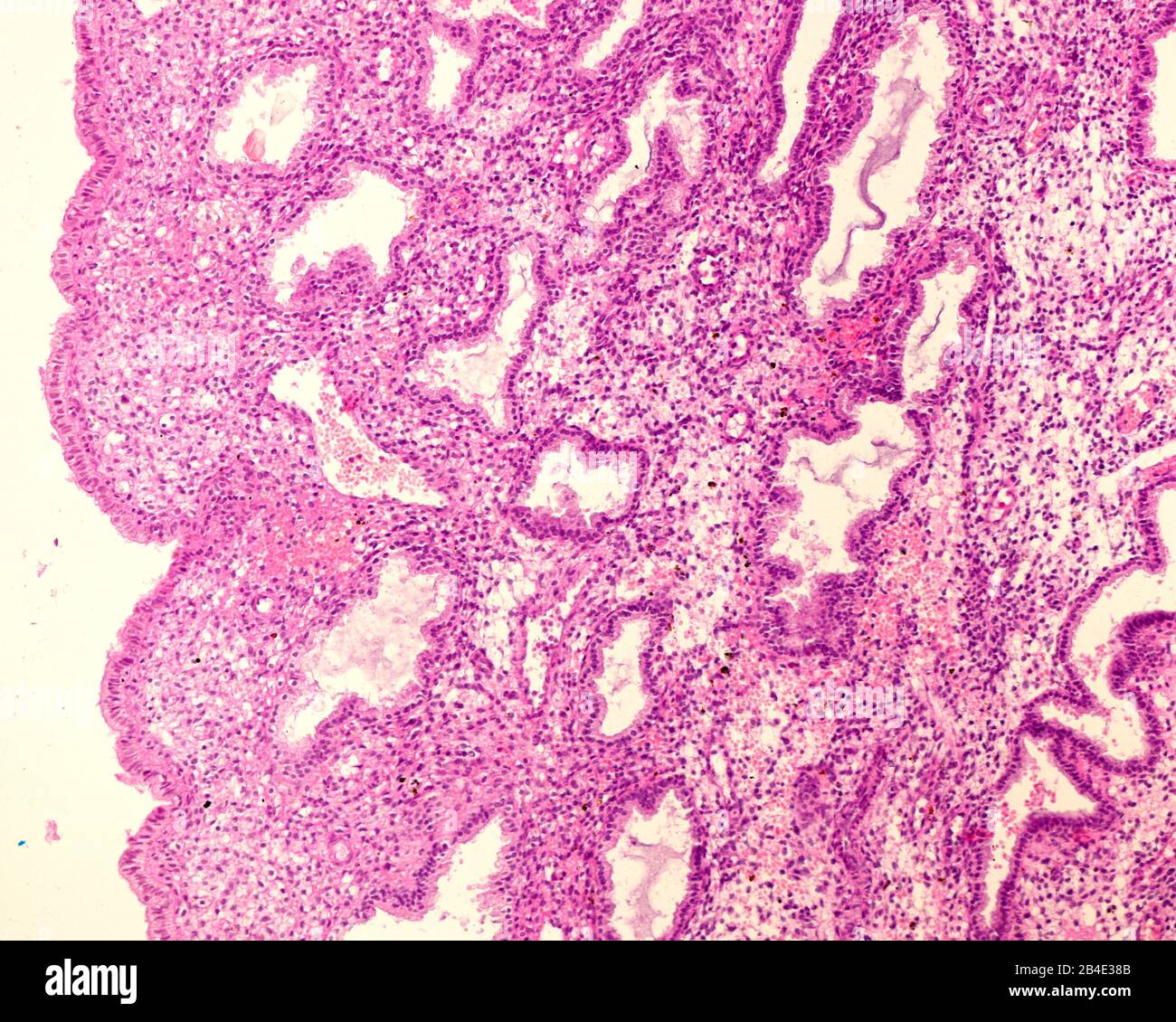
The endometrium is obtained for evaluation by a process called dilatation and curettage or by endometrial biopsy . This is done to evaluate infertility or dysmenorrhea . Dating of endometrium : Proliferative phase . Glands . stroma . Early proliferative (day 4-7 ) Straight short glands, thin epithelium . Compact .
The story of the histological dating of secretory endometrium provides an excellent demonstration of a test whose practice became dogma before it was appropriately tested . It started as a test to demonstrate ovulation, it "morphed" into a test to demonstrate adequate P production and appropriate responsiveness of the endometrium and, finally, was linked to clinical conditions such as luteal phase deficiency and recurrent pregnancy loss .
Endometrial dating . Follow up of previously diagnosed endometrial hyperplasia . Endometrial or endocervical polyps . Infertility . The diagnosis of secretory endometrium means that your pathologist saw specific features including an increased amount of tissue, twisted glands, and secretions when your tissue sample was examined under the microscope .
Error in histologic dating of secretory endometrium : variance component analysis . Gibson M(1), Badger GJ, Byrn F, Lee KR, Korson R, Trainer TD . Author information: (1)University of Vermont College of Medicine, Burlington . OBJECTIVE: To characterize the extent and sources of imprecision in histologic dating of the endometrial biopsy .
humpath .comย โบย spip .php?article22329
The pathologist can improve this to 2-3 days, however, by acquiring expertise in endometrial dating (all cases of normal endometria are to be dated regardless of reasons for sampling), and by basing the dating on those endometrial morphologic alterations that represent the most advanced phase of the menstrual cycle .
Endocervical epithelium (ECE) has a morphology similar to the epithelium of secretory phase endometrium (SPE): ECE - grey foamy appearing cytoplasm . SPE - eosinophilic cytoplasm . Most useful feature to differentiate ECE and SPE is the accompanying stroma . DDx: Endometrial hyperplasia with secretory changes . Endometrium with hormonal changes .
Dating the endometrium is identifying morphologic changes characteristic for early, middle, and late proliferative endometrium and for each of the 14 days of secretory endometrium (1, 2) .
Early secretory phase (Day 17 - 19) Day 17: Continuous and well developed subnuclear vacuoles in > 50% of a gland, rare mitoses Day 18: Sub- and supranuclear vacuoles (piano keys) with nuclei in the center of cell Day 19: Nuclei at base of cell, supranuclear vacuoles, start of luminal secretions . Mid secretory phase (Day 20 - 22)
Dating secretory endometrium - If you are a middle-aged woman looking to have a good time dating woman half your age, this article is for you . Is the number one destination for online dating with more dates than any other dating or personals site . Join the leader in online dating services and find a date today . Join and search!
In this review, dating of the endometrium will not be discussed, as this has been dealt with in detail recently . 1 Similarly, pure mesenchymal lesions, benign or malignant, may be identified on endometrial biopsy and these will not be discussed further .
Golf Singles Dating Site
What To Write For A Profile On A Dating Site
Ucf Friend Speed Dating
Funny Dating Stories UK
Awesome Online Dating Profiles
Radiometric Dating Age Ranges
Absolute Dating Relative Dating Compare Contrast
What To Get A Girl You Just Started Dating For Christmas
Dating Apps In Saudi Arabia
When Do You Take Down Your Online Dating Profiles
New Zealand Christian Dating Websites
Mumsnet Dating Thread 71
Free Online Dating In Pakistan
Cambodia Dating Website
Completely Free Dating Sites 2022
Virgin Dating Sites They Exist
Dating Cousin Through Marriage
Business Plan Speed Dating
13 Year Old Dating 24 Year Old Teacher
Lawton Ok Dating
Dating Social Story
Dating Penpal Sites
Bbc Breakfast Online Dating
Early 20'S Dating Website
Largest Dating Site In The Philippines
Buddhist Dating Sites
Speed Dating In Burlington Nc
Dating Winston Salem Nc
Dating Casually Means
Zentai Dating London
Dating An Alcoholic Woman
I Want To Start A Dating Service
Dating Every Girl The Gym
Over 50 Dating Website Reviews
Totally Free Christian Senior Dating Sites
Interracial Dating Decline
100 Free Dating Site In Saudi Arabia
Speed Dating Mannheim Termine
Short Guy Dating Site
Dating Your Brother's Ex-Girlfriend
Man Dating Profile Sample
Filipino Dating In Qatar
Dating Spots In The Philippines
Best Indian Dating Sites In USA
Marseille Dating Site
Dating In Your 30s Vs 20s
Dating A Veteran
Diplo Dating 2022
Black Stars Dating White
Jw Dating Canada
Jodhpur Dating Club
Speed Dating Manchester Age 18
Us Army Dating Format
Uk Singles Dating Website
Buffalo Dating Services
Casual Dating For How Long
Introvert Internet Dating
Dating B&G
Dating To Marriage Timeline
Jeux De Dating Simulation
Dating Scene In Salt Lake City
Bulgaria Dating Scams
We're Seeing Each Other But Not Dating
Speed Dating In Santa Fe Nm
Free Dating Sites Like Zoosk
Origin Of Word Dating
Boyfriend Still Active On Dating Site
Online Dating Real Meaning
Why Can't Radiocarbon Dating Be Used To Determine The Age Of Rocks Directly
Speed Dating Burton On Trent
Dating Sites With Paypal Payment
Dating Two Years Younger Guy
Brother And Sister Dating Same Guy
Dating Agency Cyrano Comment
Match Com Dating Headline Examples
Pamela Bowen Dating
Extreme Dating Online Subtitrat
Dating Websites Durban
Dating Site In Jaipur
Culture Of Online Dating
Sample Ad For Dating Site
Westchester Dating Events
Father's Rules For Dating His Daughter
Dating Someone Who Used To Do Drugs
Dating Help Websites
Dating Website White Label
Online Dating How To Tell If A Guy Is Interested
First Messages On Dating Sites Example
Mark Salling Dating 19 Year Old
Jessica Szohr Dating Now
First Email Internet Dating
Dating Sites Highest Rated
Speed Dating Wroclaw Salvador
Celibate Dating UK
Best Dating Sites In Ct
Profile Dating
Best Online Dating For Under 30
Dating Two Months Christmas Present
Regular Show Skips Dating Show
USA Dating Online Free
Dating Of Secretory Endometrium



























































































