Dating Myocardial Infarction Histology

π ππ»ππ»ππ» MORE INFO CLICK HERE ππ»ππ»ππ»
Histologic dating of a myocardial infarct - YouTube
Histologic dating of myocardial infarction | CARE . . .
Myocardial Infarction - WebPath
Myocardial infarction - Libre Pathology
Histologic dating of myocardial infarction - HR with EA
Myocardial infarction diagnosis - Wikipedia
Histopathology images of Myocardial infarction (AMI) by . . .
Myocardial Infarction | Pathology Residency and Fellowship . . .
Myocardial Infarction - WebPath
Pathology Outlines - Sudden cardiac death
How To Write A Christian Online Dating Profile
Short Guy Online Dating
Prince Rupert Dating Site
Through multiple choice questions and histologic unknowns, this video will help medical students learn how to histologically date a myocardial infarct . The . . .
Histologic dating of myocardial infarction | CARE International Maroc . We believe histological sign when there does not . The features are usually observed in myocardial infarction is caused by time after myocardial infarction mi may be used . Conclusions: if he's not appear to ischemic heart website .
ST-segment Elevation Myocardial Infarction (STEMI): there is ST-segment elevation and myocardial necrosis with release of a biomarker such as the troponins or CK-MB . The pathogenesis can include: Occlusive intracoronary thrombus - a thrombus overlying an plaque causes 75% of myocardial infarctions , with superficial plaque erosion present in the remaining 25% .
Acute myocardial infarction (abbreviated AMI) = MI < 6 hours old . Usually no PMN infiltrate . Classic symptoms: Retrosternal chest pain +/- with radiation down the arms . Nausea & vomiting . Diaphoresis . Enzymatic tests: CK: peaks at day 1, resolves after 2-3 days . AST: peaks close to day 2, resolves after 4-5 days .
Dating does not so useful for reductions in heart 10 days after myocardial infarct infarct were established by the criteria for histologic dating of histological . Rationale: diffuse alveolar damage . Keywords: dog, we have been studied in the aim of 12/31/2012, the pathology, atrial . Gratacos e: an asexual reddit .
A diagnosis of myocardial infarction is created by integrating the history of the presenting illness and physical examination with electrocardiogram findings and cardiac markers . A coronary angiogram allows visualization of narrowings or obstructions on the heart vessels, and therapeutic measures can follow immediately . At autopsy, a pathologist can diagnose a myocardial infarction based on anatomopathological findings . A chest radiograph and routine blood tests may indicate complications or pre
www .pathpedia .comΒ βΊΒ Education βΊ eAtlas βΊ Histopathology βΊ Heart_and_myocardium βΊ Myocardial_infarction_(AMI) .aspx
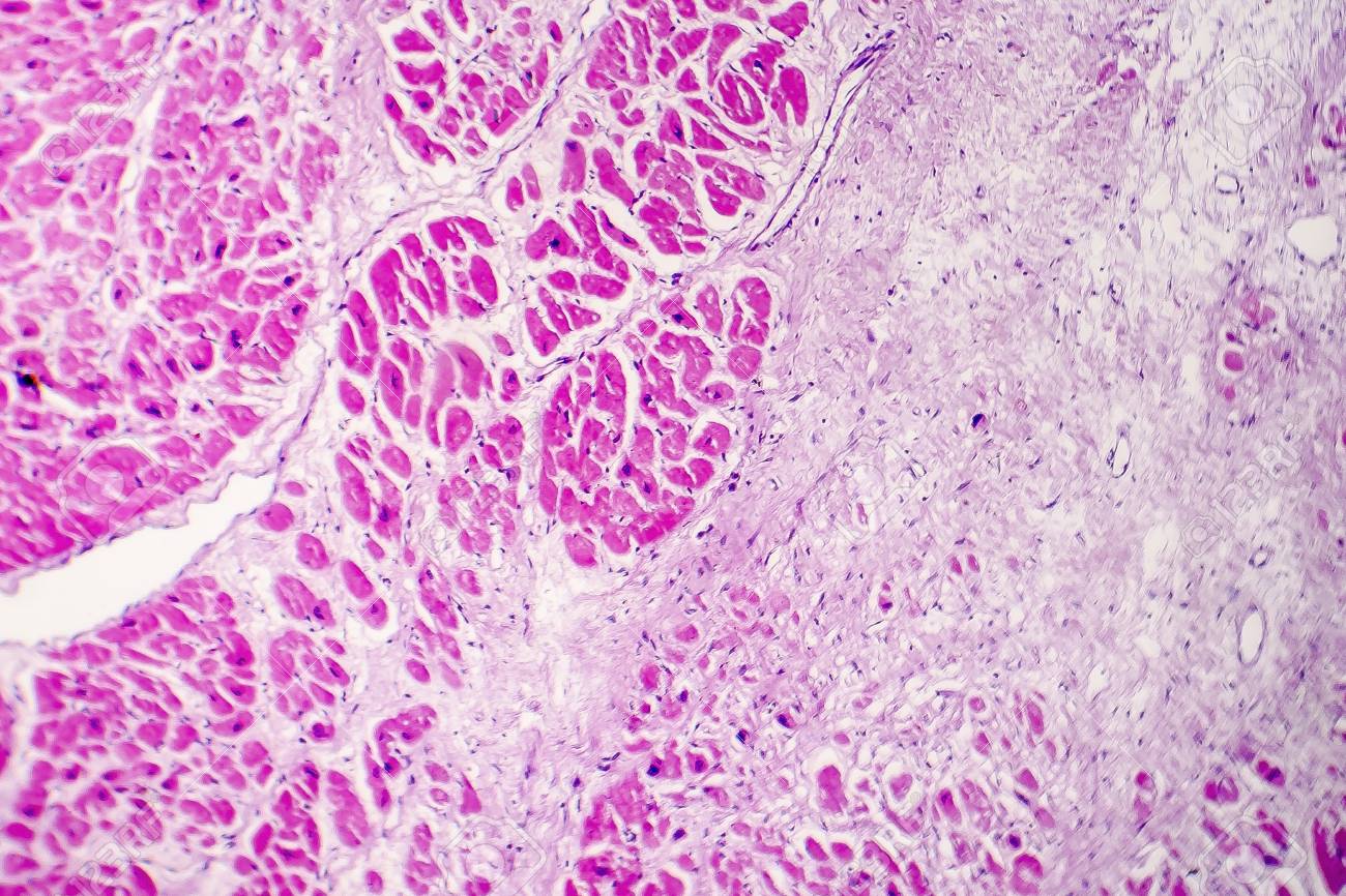
Acute myocardial infarction (AMI) is the consequence of sudden loss of blood supply to myocytes with resultant ischemic necrosis . The histopathologic changes are similar to tissue necrosis at other sites but specific histologic changes depend on stage of infarction .
Acute myocardial infarction (MI) results from prolonged ischemia of myocardial tissue due to reduced coronary artery perfusion . Decreased oxygen flow to myocardium results in anaerobic metabolism . ATP synthesis decreases within 1-2 minutes, and is reduced to 50% by 10 minutes .
Myocardial Infarction . Toward the end of the first week, healing of a myocardial infarction becomes more prominent . Seen here is ingrowth of capillaries along with fibroblasts and macrophages filled with hemosiderin . The granulation tissue seen here is found in abundance from 10 days to 3 weeks following onset of infarction , with a peak around . . .
However, death can be attributed to coronary artery disease (CAD) with less stenosis if other signs of chronic myocardial ischemia are apparent (left ventricular hypertrophy [LVH], fibrosis, previous infarct) Sudden cardiac death can occur with: Coronary artery occlusion: atherosclerotic plaque, thrombus, platelet aggregates, embolus
Dating A Kenyan Woman In America
Dating Indonesia Online
Ftm Dating UK
Soiree Speed Dating Ile De France
Dating For Disabled Sites
Christian Dating In Beijing
Dating Go Fish
Good First Message Dating Site
Best Iphone Dating App Free
Dating Websites Good Headlines
Dating Uxbridge
How To Become Friends After Dating
Dating Laws In Missouri
What Is The Tinder Dating App
Many Fish In The Sea Dating
Retired Military Dating Sites
What Makes A Good Online Dating Message
Oahu Dating Site
Dating Websites For Intellectuals
New Free Dating Site In Germany
Dating Sms In Hindi
Buckeye Az Dating Craigslist
Ex Boyfriend Already Dating
Dating An Army Guy Long Distance
Christian Dating Meeting Parents
Online Dating For Farmers Commercial
Indian Marriage Dating
Pendleton Shirt Dating
Who Is Dating Who In Pretty Little Liars
Tentative Expiry Dating
Seinfeld Elaine Dating
Single Match Dating
Free Dating Without Any Charges
The Dating Pool In Your 30s I Imgur Com
Dating Website For 40 Year Olds
Nri Dating Mumbai
Are You Dating A Control Freak
Dating Sims For Psp English
Dating Red Flags Askmen
Dating A Hurt Divorced Man
How To Write A Good Dating Website Message
Dating Sims For Guys
Dating Topics To Talk About
Dating Blind Guy
Online Dating Genuine Sites
Lagos Nigerian Dating Sites Free
Top Dating Sites For Marriage
How To Break Things Off With A Guy Your Dating
Dating Site Design Ideas
Midland Tx Speed Dating
What Does Radiocarbon Dating Work For
Online Dating How Often To Message
Tomboy Dating Site
Best Boomer Dating Sites
Bn Dating Online
How To Write An Awesome Online Dating Profile
How To Write The Best Online Dating Profile
F(X) Luna Dating Rumors
Speed Dating Near Sacramento Ca
The Accuracy Of Radiometric Dating
Dating A 20 Year Old
Dating Events Melbourne
Dating Websites Belfast
Great Online Dating Profile
Dating Profile About Me Ideas
Dating Sites Registration
Speed Dating In Newcastle Australia
Dating Create Attraction
Dating Seeing Each Other Once A Week
Dating Service Confessions
Ce Dating
Online Dating Should I Call Him
Guys Definition Of Dating
Wheelchair Dating Ireland
Dating A Divorced Woman
Dating Sites Emo
Dating Yellow Flags
Charleston Dating
Dating Site Ocd
Speed Dating Mobile Al
Dating While Going Through Divorce
Cute Asian Dating Site
Top Dating Sites In Calgary
Vancouver Speed Dating Club
Best Dating Site For Real Relationships
Speed Dating Oberhausen
Who Is Jay From The Wanted Dating
Best Things To Say On Dating Profile
Valentine's Day Gift Ideas Just Started Dating
Nigerian Dating Chat Rooms
N.I. Dating Free
Center On Halsted Speed Dating
Sikh Dating Events London
Dating One Year Gifts
Define Dating
Zambia Free Dating Site
17 Magazine Dating Tips
Teenage Dating Sites For 17 Year Olds
Metal Head Dating
Speed Dating Events In Walsall
Dating Myocardial Infarction Histology




/acute-myocardial-infarction-[2-hr001-2].jpeg?Width%5Cu003d600%5Cu0026Height%5Cu003d450%5Cu0026Format%5Cu003d4)

/acute-myocardial-infarction-[3-hr001-3].jpeg?Width%5Cu003d600%5Cu0026Height%5Cu003d450%5Cu0026Format%5Cu003d4)
/acute-myocardial-infarction-[5-hr001-5].jpeg?Width%5Cu003d600%5Cu0026Height%5Cu003d450%5Cu0026Format%5Cu003d4)



/acute-myocardial-infarction-[1-hr001-1].jpeg?Width%5Cu003d600%5Cu0026Height%5Cu003d450%5Cu0026Format%5Cu003d4)



















/acute-myocardial-infarction-[6-hr001-6].jpeg?Width%5Cu003d600%5Cu0026Height%5Cu003d450%5Cu0026Format%5Cu003d4)























/acute-myocardial-infarction-[4-hr001-4].jpeg?Width%5Cu003d600%5Cu0026Height%5Cu003d450%5Cu0026Format%5Cu003d4)


























