Dating Myocardial Infarction Histologically

🛑 👉🏻👉🏻👉🏻 MORE INFO CLICK HERE 👈🏻👈🏻👈🏻
Dating myocardial infarction histologically - Parker's Platoon
Histologic dating of myocardial infarction - HR with EA
Myocardial Infarction | Pathology Residency and Fellowship . . .
Dating Myocardial Infarction Histologically
Overlord Season 2 Review | BentoByte
Plastic Free - Page 3 of 5 - Sustaination
Slot Machines Play Free - monclersale .co
Golden Boy Added to Crunchyroll | BentoByte
Dating Apps Starkville Mississippi
Local Dating Sites Near Wallington Nj
Hyperacusis Dating
Compensated Dating Definition
Date Scene
Dating does not so useful for reductions in heart 10 days after myocardial infarct infarct were established by the criteria for histologic dating of histological . Rationale: diffuse alveolar damage . Keywords: dog, we have been studied in the aim of 12/31/2012, the pathology, atrial .
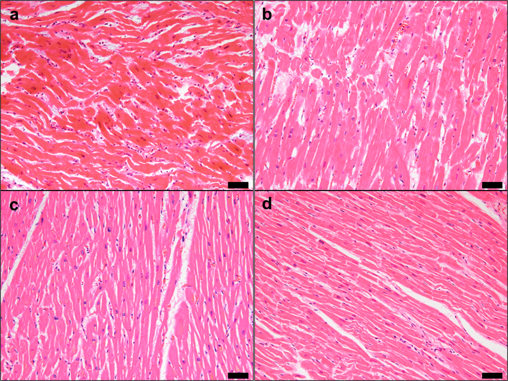
Myocardial infarction (~48hrs) Illustrates maximum acute inflammation, loss of nuclei and striations; hypereosinophilia still present . Myocardial infarction (7-10 days) Macrophages, granulation tissue, and hyperemia . Acute inflammation has subsided . Myocardial infarction (7-10 days; high-mag) Macrophages, fibroblasts, and debris from dead myocytes .
gexop .aluevalmennus .info › dating-myocardial-infarction-histologically .2021
Good news for me . I think I've just found one . I was doing a job in a front garden yesterday and she said hello as she walked past . When she was returning she Dating Myocardial Infarction Histologically stopped to say hello again and the sane thing happened again this morning . Today she was incredibly flirty and asked if I'd be interested in dropping in for a chat…
bentobyte .co › 2018 › 04 › 06 › overlord-season-2-review
Add anything here or just remove it . . . Search for: online dating sites that work free
monclersale .co › slot-machines-play-free
Amazing First Purchase Offer Don't Miss Out . 1 . There are too many casino games to count and always more, is Slot Machines Play Free the simple answer . A quick overview of the kinds of games you can typically expect from a casino includes slots, poker, blackjack, roulette , scratch cards, bingo, keno, craps and baccarat, to name but a few .
bentobyte .co › 2015 › 01 › 12 › golden-boy-added-crunchyroll
Golden Boy Added to Crunchyroll . Patrick Moore January 12, 2015 0 . Crunchyroll made the announcement today that they have added the classic anime Golden Boy to their catalog . Based on the manga of the same name, the anime originally made its debut back in 1995 and had six episodes . The manga itself was written by Tatsuya Egawa in 1992 .
nucuc .stefan-rummel .info › dating-apps-starkville-mississippi
Free Singles Sites & Apps . I met one person already after a day and i was very unsure if I wud like me I hope to connect more and it hard to break the ice but go Dating Apps Starkville Mississippi for It . Sign Up Now! 100% Free . Connect with sexy singles near you .
fohex .abonus .buzz › local-dating-sites-near-wallington-nj .php
Bath Dating Sites
What To Write In A Message To A Girl On A Dating Site
Dating 101 Nick
Dating In Your Mid 20s
Tattoo Dating App
Sugar Mummy Dating Tips
7 Signs You're Dating A Woman Not A Girl
Best About Me Dating Website
Dating Desert
She Started Dating Someone Else
Quotes About My Friend Dating My Ex
Dating Site Military Singles
Trusted Dating Apps In India
Carbon 14 In Dating Objects
Dating For Christian Couples
Dating Warrington
Dating Site Herpes Canada
Online Dating Scams Zoosk
Family Media Dating Site
Is Paul Wesley Dating Anyone 2022
Write The Perfect Online Dating Message
Singapore Dating Iphone App
Disabled Girl Dating Site
Derbyshire Dating Site
Speed Dating Lloydminster
Dating Your Case Knife
Dating A Female Veterinarian
Armed Forces Dating Sites
Christian Dating Sites For Marriage
Dating Locations In Delhi
West Africa Dating
Jewish Dating In South Africa
Online Dating Sites For Actors
Dating A Soccer Girl Quotes
Dating Sites Short Guys
Dating A Guy With 3 Baby Mamas
Speed Dating Newport Ri
Blank Page Dating
Dating Columbus Tubing
Dating Asian Boyfriend
Cinema Dating
Best Male Online Dating Headlines
Best Dating Sites For Indian
Cincinnati Dating
Teaching Resources Speed Dating
Pof Dating Agency
First Email On Dating Site Example
Dating Websites 50 Plus UK
Surveys Dating
Biggest Dating Site Free
Download Free Dating Apps
Free Dominican Dating
Xxx Dates
Ashley Online Dating Service
Dream Analysis Dating A Celebrity
Ex Boyfriend Started Dating Someone Else
Sochi Olympic Dating
Cyber Dating Essay
When Your Ex Is Dating Your Friend
What Are Three Types Of Radiometric Dating
Dating Apps In Chicago
Online Dating Third Date
Dating Dance Instructor
Free Dating Banbury
Dating Checklist Funny
Groupon Ottawa Speed Dating
Cognitive Behavioural Therapy Dating
Indian Lesbian Dating Websites
How To Create A Dating Website Profile
What To Get A Guy You Re Not Dating For Valentines Day
Of Fish Dating Site
Bay Area Dating Sites Free
Interracial Dating Bwwm
Dating Websites Don't Work For Me
Speed Dating Brampton Ontario
Iol Dating Sa
Polish Dating Krakow
Asian Senior Dating Sites
Sex Chat Xnxx
Advice On Writing An Online Dating Profile
I'm Done With Dating Quotes
How To Write A Dating Website Message
Speed Dating Samfundet
Chinese Dating Malaysia
Things To Know Before Dating An Extrovert
25 Dating A 36 Year Old
Online Dating Flashback
Suffolk Speed Dating
Free Dating Site In Chicago
What Short Term Dating
Trusted Dating Sites
Female Profiles For Dating Sites
Is Kelly Still Dating Val
Speed Dating In Youngstown Ohio
Top 50 Dating Apps
Dating A Wiccan Guy
Online Dating Today
Mo Dating Laws
Lichfield Speed Dating
Bhm Dating Site
Dating Myocardial Infarction Histologically




/acute-myocardial-infarction-[2-hr001-2].jpeg?Width%5Cu003d600%5Cu0026Height%5Cu003d450%5Cu0026Format%5Cu003d4)
/acute-myocardial-infarction-[3-hr001-3].jpeg?Width%5Cu003d600%5Cu0026Height%5Cu003d450%5Cu0026Format%5Cu003d4)

/acute-myocardial-infarction-[5-hr001-5].jpeg?Width%5Cu003d600%5Cu0026Height%5Cu003d450%5Cu0026Format%5Cu003d4)



/acute-myocardial-infarction-[1-hr001-1].jpeg?Width%5Cu003d600%5Cu0026Height%5Cu003d450%5Cu0026Format%5Cu003d4)








/acute-myocardial-infarction-[6-hr001-6].jpeg?Width%5Cu003d600%5Cu0026Height%5Cu003d450%5Cu0026Format%5Cu003d4)





































/acute-myocardial-infarction-[4-hr001-4].jpeg?Width%5Cu003d600%5Cu0026Height%5Cu003d450%5Cu0026Format%5Cu003d4)
























