Dating Metaphyseal Fractures

β‘ ππ»ππ»ππ» MORE INFO CLICK HERE ππ»ππ»ππ»
Dating fractures in infants - ScienceDirect
Dating fractures | Radiology Key
PDF Annotations The radiological dating of injuries
How Old Is This Fracture? Radiologic Dating of Fractures . . .
Fractures - Non-Accidental Injury | Brendan Fleming
Metaphyseal fracture | Radiology Reference Article . . .
A Critical Review of the Classic Metaphyseal Lesion . . .
PDF Another perspective on the cause of metaphyseal fractures
PDF Metaphyseal Fracture Healing - DiVA portal
Suspected physical abuse | Radiology Reference Article . . .
Questions To Ask A Girl Dating Site
Cherry Blossom Dating Site Sign Up
Hilarious Headlines For Online Dating
Metaphyseal fractures have not been included as they are frequently less symptomatic and it is not possible to accurately identify the date of injury . The level of interobserver agreement for the presence of the radiological features of fracture healing was also assessed . . . . Accurate dating of fractures in infants is an important but difficult . . .
While some scientific studies have been published on fracture dating in general, prior reports have shortcomings that limit the applicability of data to cases of abuse (3, 4, 6, 10, 32 -34) . Inflicted skeletal injuries are more common in younger age groups and most frequent in infants (15 -18) .
radiological dating of fractures and even less relating fractureagetochildabuse . Themostcomprehensivereview is byO'ConnorandCohen .' . . . Fresh fractures , including metaphyseal fractures , have sharply defined margins . With the development of an osteoclastic response to necrotic bone the fracture ends
Radiologic dating of fractures is an inexact science . Most radiologists date fractures on the basis of their personal clinical experience, and the literature provides little consistent data to act as a resource . There is an urgent need for research to validate the criteria used in the radiologic dating of fractures in children younger than 5 years .
It is known that it is more difficult to date certain fractures over others including metaphyseal fractures and skull fractures . Experienced paediatric radiologists are usually instructed to assist in such cases as they have the skill and up to date knowledge/ experience to date the fractures are easily as possible .
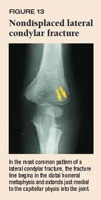
Metaphyseal fractures are fractures that involve the metaphysis of tubular bones . They may occur in paediatric or adult patients . Examples of metaphyseal fractures : adults . surgical neck of humerus fracture ; distal radial fracture ; transtrochanteric fracture ; children . distal radial buckle fracture ; Not all metaphyseal fractures intersect the physis .
These metaphyseal abnormalities were identified from postmortem radiogra-phy and correlated with microscopy . The au-thors concluded the metaphyseal alterations represented partial or complete planar micro- fractures that transected the primary spongio-sa adjacent to the growth plate . These micro- fractures usually resembled a "bucket-handle"
www .courts .ca .govΒ βΊΒ documents βΊ Dr ._Marvin_Miller_Unexplained_Fractrues .pdf
metaphyseal fractures (CMLs) following cesarean delivery . All of the CMLs were diagnosed radiographically or by clinical features on day 2 of life . Two of the infants were in the breech presentation, and in the third case the mother had poorly controlled gestational diabetes . While the authors attribute these fractures to twisting and pulling of the
Most of what is known about fracture healing comes from studies of shaft fractures in long bones . In contrast, patients more often have fractures closer to the ends (metaphyses) . Here most bone tissue has a spongy, cancellous structure different from the compact bone of the shaft . There is an increasing awareness that
Specific fractures . A number of fractures have been recognised as highly specific to non-accidental injuries (rather than accidental injury) . They include: metaphyseal fracture (so-called bucket handle fracture or corner fracture ) present in up to 39-50% of abused infants <18 months; said to be virtually pathognomonic of NAI; rib fractures
Weird Dating Site Photos
Daily Hookup Dating
World Series Of Dating Robyn
Ashton Pipe Dating
Foxy Bingo Celebrity Speed Dating
Good Online Dating Email Subject Lines
Amber Dating Old Man
Speed Dating Cairns
Dating Lunch
Speed Dating Chino Ca
Speed Dating Penrith
Athlete Dating Websites
Stop Dating Over Text
First Base Second Base In Dating
100 Percent Free Dating Site In Malaysia
4th Base Dating
Fusion Christian Dating 101
Biblical Dating Advice
Uvm Dating
Why Is Online Dating Better Than Real Life
Speed Dating 56
Dating In The Philippines
Dating Black Men
Popular Dating Apps Netherlands
Dating Online Rules
Christian Singles Dating Calgary
Dating Agency Cyrano Eng Sub
Arab Dating Singles
Which Is The Best Dating Site In UK
Your Crush Starts Dating Someone Else
I'm Addicted To Online Dating Sites
Vietnam Dating Sites Photos
What's The Best Dating Advice You Have Yahoo
Renal Failure Dating
Choice Speed Dating Wellington
Online Dating For Classical Musicians
Speed Dating In Cedar Rapids Iowa
Highest Dating Level High School Story
Dating Site 2be
Marriage Not Dating Viki
Radiometric Dating For Dummies
Dating Widows Over 50
Free Dating Websites In Kuwait
The Dating Ring New York Times
Matchmyspirit. Dating Website For Spiritual Singles
You're Dating My Ex
Dating Not Marriage Kiss
Online Dating For Average Guys
How To Ask Someone If You're Dating
Online Dating Fat Guy
32 Year Old Woman Dating 20 Year Old Man
Free Dating Sites Manchester Area
Free Farmers Dating Website
Ethiopian Female Dating
Interracial Dating Increase
Rappers Dating Latinas
Dating Doc Love
Dating Site In Kyrgyzstan
Jw Dating Website
Dating Website In Kuwait
Free Online Online Dating Site
Lesbian Date Tinder
Tongan Dating Culture
Types Dating
Best Man Speech Online Dating
How To Tell If Your Friends Are Secretly Dating
Single Mom Dating Website
Dating Site Best Description
Buzz Dating Club
Dating Voor Hsp
Bwwm Dating UK
Totally Free Dating Sites In Asia
Dating Agency Perth Scotland
United States Of America Dating Sites
Asian Dating Toronto
Dating A Guy With Adhd Yahoo
Dendrochronology Dating Techniques
Fashion Institute Of Technology Dating
Dating Site In Navi Mumbai
What Are Some Dating Sites For 13 Year Olds
Alpha Male Dating Sites
Dating Tips For A Girl
Speed Dating Oakham
Ryan Dating In The Dark
Palm Beach Speed Dating
Dating Sites Germany English
Arab Dating Website UK
Dating Enid Oklahoma
How Do We Use Carbon Dating
Radioactive Rock Dating
Best Spain Dating Site
Dating Websites Winchester
How To Write A Online Dating Letter
What Age Is Too Young For Online Dating
Zimbabwe Dating Websites
Lee Young Eun Dating
Carbon Dating Against Evolution
Speed Dating Pamplona 2022
Getting Back On The Market Dating
Sims 3 Egypt Online Dating Photo
Dating Metaphyseal Fractures















































































