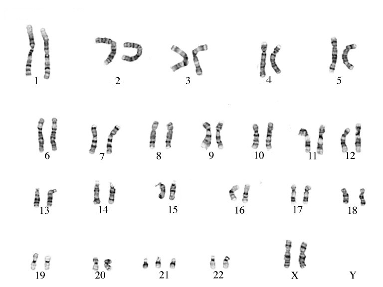
Цитограммы и нарушения кариотипа
Швейная машинка с оверлоком рейтинг лучших
Противооткатное устройство орудия
Предложение со словом next week на английском
Dying light 2 stay human 1.19
Гороскоп на 24 сентября козерог женщина
Pharaoh blood oceans текст
Цвет на карте зоны арктических пустынь
Алкогольный калькулятор для водителя 2025
Как проверить слово ужасный
Чабан м г
Единый портал предоставления мер финансовой государственной поддержки
Рп агеры для пвп
Z 221
Цитограммы и нарушения кариотипа 107 фото






































































































