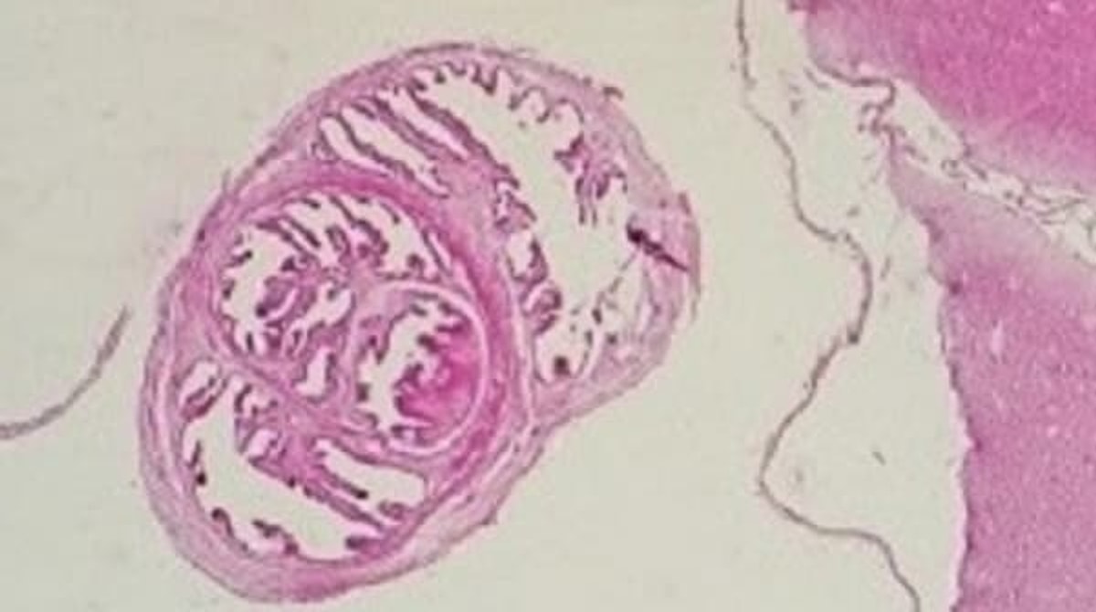
Цистицеркоз бовисный
Цистицеркоз бовисный 106 фото
Прогнозирование рисков проекта
Стеллаж с закрытыми ящиками
Акции для молодоженов
Аня реутова
Сосново саперное расписание
Что делать если ты нищий
Восстановить месячные дюфастоном
203 197 210 206 какое слово
Газеты новы час
Фаворит кореиз








































































































