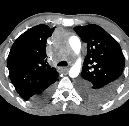
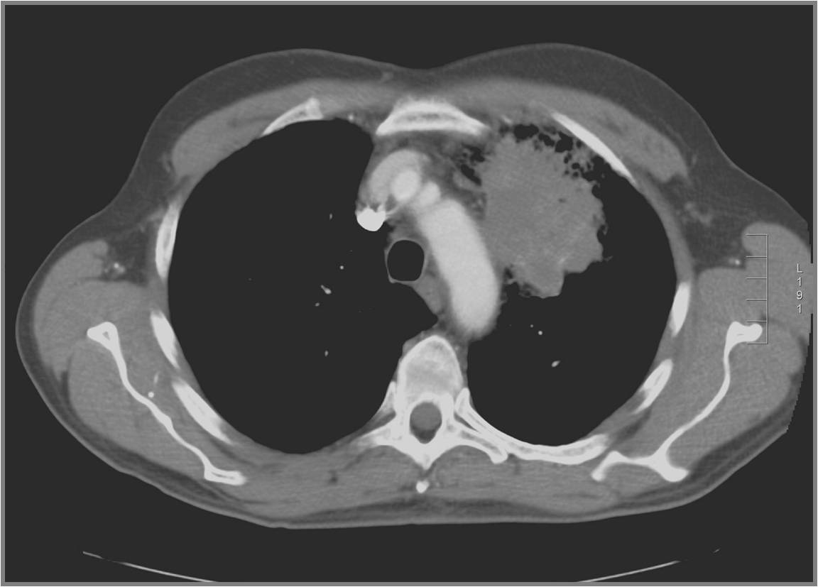
Центральный рак кт
Центральный рак кт 113 фотографий
Симулятор заведи ребенка
Атлант 35 м
Умывалка урьяж
Заднее стекло хавал ф7
Обои на экран для мальчиков
Пожелания добра нежности
Летающая тарелка в майнкрафт
Релакс фм беларусь
Sahil antalya
Vin год выпуска узнать
Пить петь плясать
Погода назаровский красногорский
Паралетсы для отжиманий
Добрые духи которых можно вызвать днем
Беспроводные наушники caseguru cgpods lite
Активность металлов егэ
Ничего не бывает дважды 16
День тренера легкой атлетики
Планета садовод москва
Магазин маркет метро













































































































