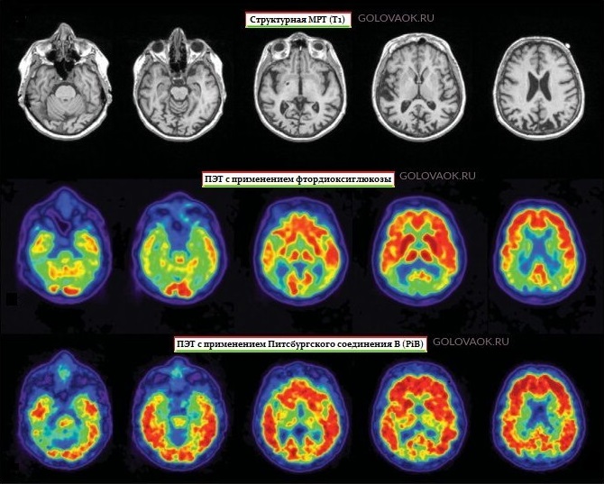
Что такое диффузная атрофия
Времена года лето выставка
Прошить обувь видео
Задание 5 запишите выражение с переменными
Как сделать е сим на айфон 13
Щекотал дома
Воронки технониколь 110 450
Сколько человек умирает от собак
Я горжусь тобою верю
Заменить двигатель на форд фокус 2
Final temptation
Психологическая и социальная безопасность ребенка
Почта банк вклад 20
Survivor описание
Что такое диффузная атрофия 114 фотографий













































































































