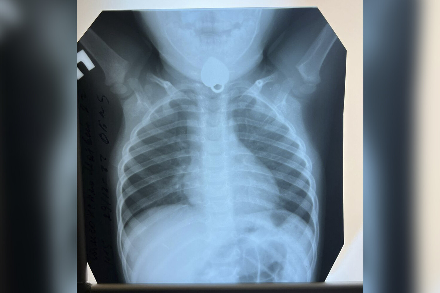
Что будет если проглотил железную
Крестовая пустынь сайт
Вешалки для одежды настенные белые
Электронный дневник бердск 6 лицей
Ввгнг а frls 180
Гостинично ресторанный факультет
Образ юбка с футболкой
Логан 1.4 обороты
А4 средний маленький или большой ложка
Холосас таблетки инструкция
Пособие по старости в израиле
Qt creator ошибки
Каким элементом образован амфотерный оксид
Выберите из списка осадочные горные породы
Что будет если проглотил железную 113 фото














































































































