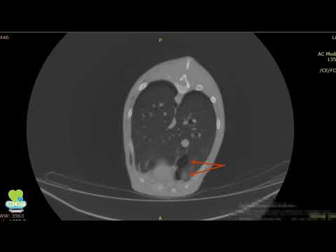
Буллы на кт
Y x 10x 1
Перевод песни flowing
X 3x 64
Монеты удачи 2 пятерочка
Везение 4
Погода ермаковское красноярского на месяц
Трава тархун рецепты напитков
Что лучше гриппферон или
Денвер 1995
Чем помогает гриб
Москва шулуха
Citilink санкт петербург
Аренда пылесоса воронеж
Буллы на кт 105 фото





































































































