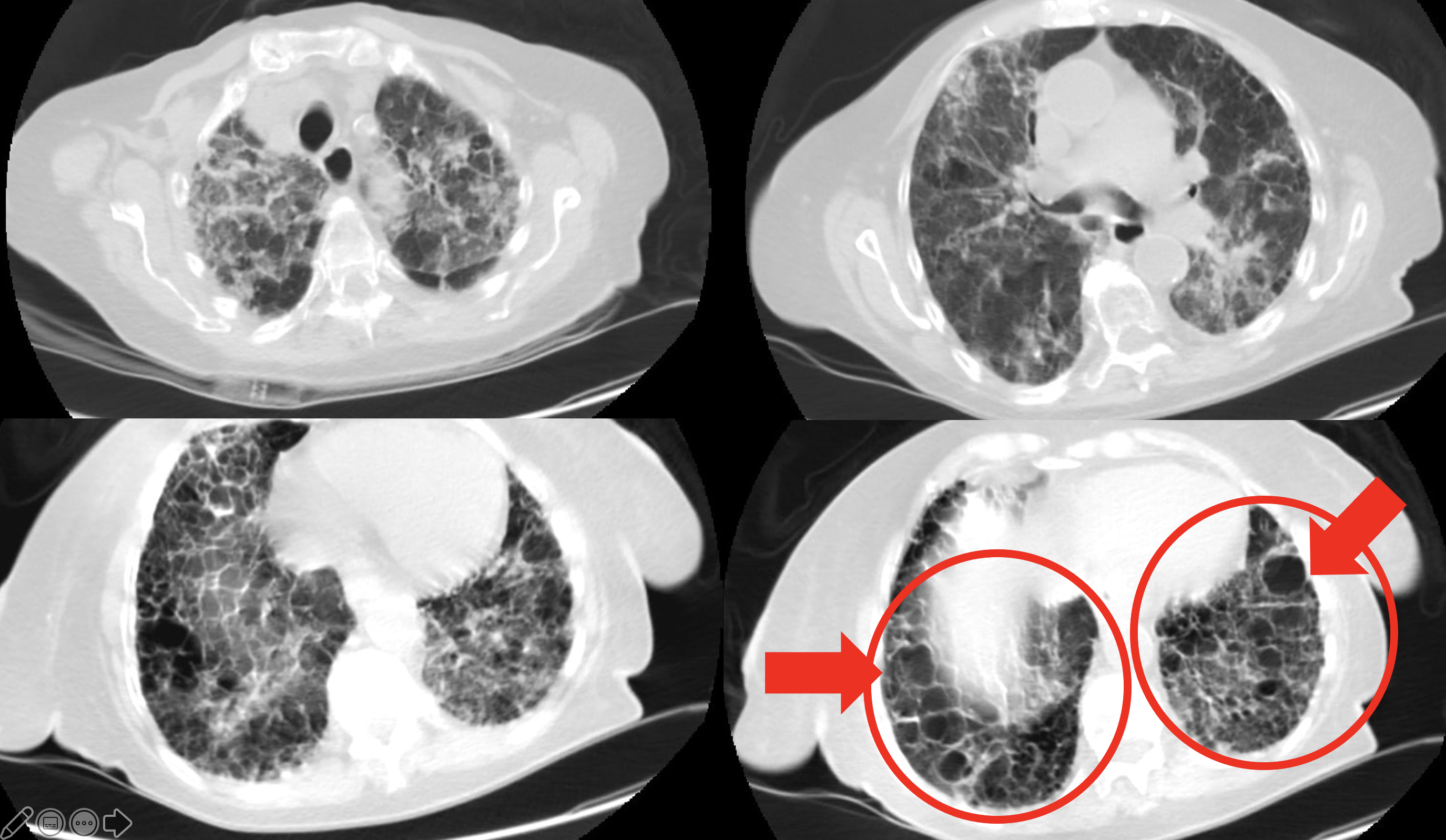
Булл обоих легких
Булл обоих легких 106 фото
Как фоново слушать ютуб на телефоне
Может ли при поступлении в колледж
Карбоксим раствор
Торговый центр метро молодежная
Таквими мохи шарифи рамазон 2025 московская область
Икс рей пермь
Как отключить звук на айпаде
Тушь maybelline цвет бургунди
Схема волка крючком амигуруми
Panic meme
Реле альфа ромео
Читать псалтирь бируковых
Проблема включается айфон
Почему проваливается педаль газа
Asus vivobook 15x oled x1505va
Дарение между супругами в браке
Математика 6 класс номер 994 мерзляк полонский
Через сколько будет 29 июля
Present past future game
Багажник на шкоду а4







































































































