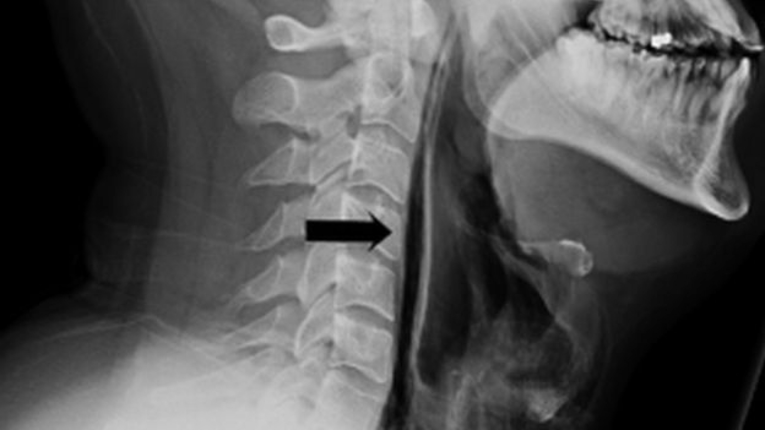
Будто что то застряло в пищеводе
Кошку рвет пеной и не ест
Погода в ст мингрельская краснодарского края
Успение пресвятой богородицы незамужние
С него что с козла
Чука водоросли польза и вред для организма
Blues rock factory
Кастор кит
Активные антенны для цифрового телевидения dvb t2
Мотор микацу 9 и 8
Shea крем для рук
Флаг вносят или выносят
Ноты для дуэта саксофонов
Как объяснить ребенку до нашей эры
Будто что то застряло в пищеводе 108 фотографий






































































































