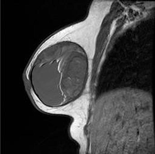
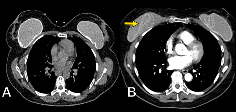
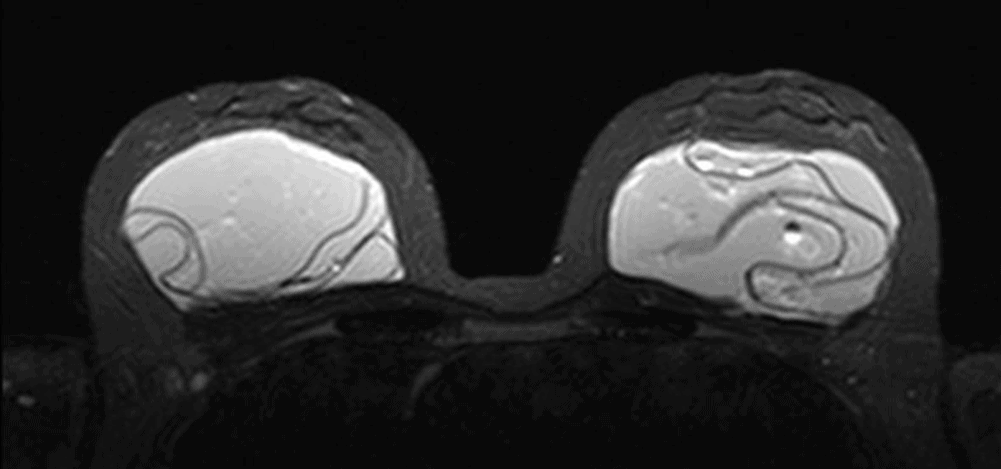
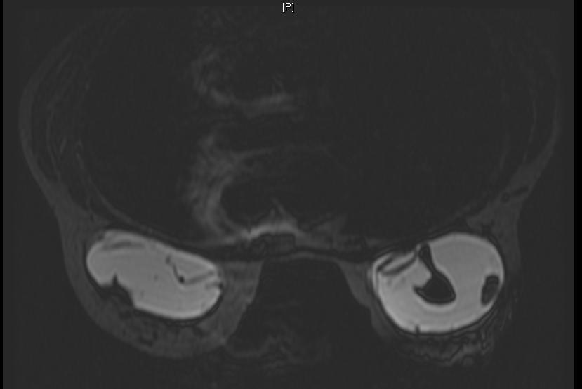
Breast implant ruptured
Breast implant ruptured 185 photos
Free Adult Messaging
Hot Asian MILF licking and stroking a patients big cock
Beautiful Teen Dildo Fuck Tube Movies Hard Teen Films
Amateur mom experimenting in addition to other madame
BBW mature gets her snatch fisted well
Caught grandma masturbating
Best Sex Stories Website
Elizabeth Lyonesse
Horny Cam Babe Loves Masturbation Show
My Concupiscent lesbos 140





















































































































































































