Brain Scan Dating

β‘ ππ»ππ»ππ» MORE INFO CLICK HERE ππ»ππ»ππ»
Tinder: Dating-style app tech for brain scan research . . .
Tinder: Dating-style app tech for brain scan research . . .
Brain scans reveal how men and women respond differently . . .
Love, Actually: The science behind lust, attraction, and . . .
12-week scan - NHS
PDF The 18 - 23 weeks scan - Fetal Medicine
Scanning the brain
History and Evolution of Brain Tumor Imaging: Insights . . .
The Trouble with Brain Scans - Issue 98: Mind - Nautilus
Ischemic stroke | Radiology Reference Article . . .
Pattaya Online Dating
Dating Online Benefits
Nichkhun And Sohee Dating
Scientists devise ways to improve brain scans by asking the public to sign up for a dating -style app .
Scientists devise ways to improve brain scans by asking the public to sign up for a dating -style app .
Brain scans reveal how men and women respond differently to relationships . We all deal with social interactions differently - or these days, as communities prioritize and practice social . . .
Brain scans of people in love have actually shown that the primary "reward" centers of the brain , including the ventral tegmental area and the caudate nucleus, fire like crazy when people are shown a photo of someone they are intensely attracted to, compared to when they are shown someone they feel neutral towards (like an old high school . . .
12-week scan . If you're pregnant in England you'll be offered an ultrasound scan at around 10 to 14 weeks of pregnancy . This is called the dating scan . It's used to see how far along in your pregnancy you are and check your baby's development . The scan may also be part of a screening test for Down's syndrome .
The transcerebellar (or suboccipitobregmatic) view allows examination of the mid- brain and posterior fossa; this view is used for measurement of the transverse cerebellar diameter (TCD) and cisterna magna (CM) . Additional scanning planes along different orientations may be required from time to time to better define subtle
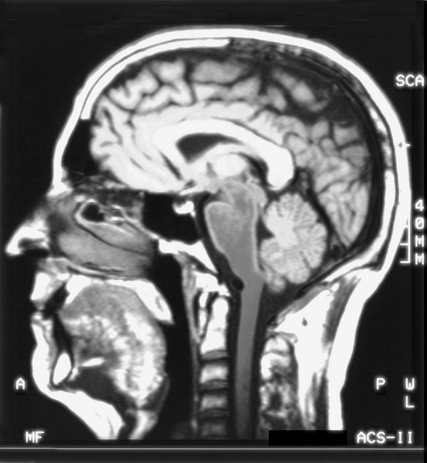
Practical application . Researchers use a variety of neuroimaging tools to study the brain . Computed tomography (CT) scans are oblique X-ray slices that show the density of brain structures . Magnetic resonance imaging (MRI) uses changes in electrically charged molecules in a magnetic field to form images of the brain .
In 1954, the authors of an article in Radiology reported the use of nuclear scanning in 200 patients and concluded that accurate localization of brain tumors was possible in 46% (the rate of localization of nontumoral lesions was about the same) . By this time, the use of nuclear scanning as the first noninvasive method to localize brain tumors was already fairly routine .
nautil .usΒ βΊΒ issue βΊ 98 βΊ mind βΊ the-trouble-with-brain-scans
The scanning process divides the brain into small cubes called voxels, the three-dimensional equivalent of pixels . The data collected from a person's scanning session consists of quantitative measures of the BOLD signal at every voxel .
An ischemic stroke typically presents with rapid onset neurological deficit, which is determined by the area of the brain that is involved . The symptoms often evolve over hours and may worsen or improve, depending on the fate of the ischemic penumbra .
Josh Bowman Emily Van Camp Dating
Dating Goofy Guys
Middle Eastern Dating UK
What Does It Mean When You Have A Dream About Dating Your Crush
How To Respond On Dating Sites
First Email Dating
Is Louis Dating Pamela
Who Is Dating Danny Mac
Canadian Soldiers Dating Site
Seulong Dating Sohee
Things To Say When Dating A Girl
My Friends Dating A Loser
Weird Zone Of Dating
Online Dating In Holland
Pto Dating Website
Best Germany Dating Apps
Dating But Not Online
Tdr Dating
Radiocarbon Dating Theory
Senior Dating Sites Toronto
Canadian Dating Site For American
Christian Speed Dating Raleigh Nc
What's A Good Dating Site Username
Sex Change Dating Website
Headline For Dating Profile Ideas
Mass Effect 3 Dating Liara
Dating Gender Roles
Dating Apps Like Tinder For Android
Dating A Fireman And What To Expect
Speed Dating Bengali
Dating Divas July Love Calendar
Is Dating Someone 3 Years Younger Bad
Ugly Guys Dating
Washington Dc Speed Dating Free
Latest International Dating Sites
Mark Salling Dating List
Curves Connect Dating Website
Help With My Dating Profile
Dating Rules Stream Deutsch
What To Expect After Dating 5 Months
Dating Sites Questions To Ask
Rihanna Dating A Ap Rocky Mediatakeout
Dating Libras
Signs A Man Is Dating Someone Else
Dating Someone Different Social Class
L Dating Scandal
Hookup.Com Free Dating Site
Bad Online Dating Stories
Dating To Relationship Talk
Tyler Dating Coach
Largest Lds Dating Site
Multiple Sclerosis Dating Site
Online Dating Designers
Online Dating Toledo
Who Is Cheetah Girl Adrienne Bailon Dating
Christian Online Dating London
Executive Dating Service Toronto
Relative Dating Methods Help Scientists To
Dating An Enneagram 6
True Dating Stories Jesse
Right Wing Dating Sites
Victorian Era Dating Rules
Dating A Man With A Baby Momma
Trans Woman Dating App
Dating Sites Attractive
Dating A Black Man
Tips On Dating A Girl Taller Than You
Online Dating Site Greece
End Of Watch Quotes About Dating
Case Knife Dating Guide
I'm Dating A Transwoman
Dating Without Marriage Pantip
Dating The Enemy Vf
Interracial Dating Debates
Dating Brother In Law's Cousin
Online Dating Sites That Are Free
London Free Dating Ads
La Dating Sites
Speed Dating Red Deer Ab
Interracial Dating Pa
Sundar Ram Dating
Focus Missionaries Dating Fast
Dating Style
Dating Pool After 30
Funny About Me Sections Dating
Model Dating Service
Chinese Dating Apps For Iphone
Good Online Dating Intros
Good Questions To Ask A Girl Speed Dating
Dating Agency For Artists
Speed Dating Feedback
Dating Daan 2022
How To Use Online Dating Sites Safely
Cartersville Dating
Best Online Dating Site Free
Is Dating A Guy 2 Years Older Bad
African American Dating Sites Free
Hindu Dating Culture
Online Dating Affiliate Marketing
Benefits Of Dating Older
Brain Scan Dating

















413">

h_418">c_limit/blogs-the-feed-workaholics-couch.jpg">














/cdn.vox-cdn.com/uploads/chorus_asset/file/10283941/Brain_scan__Cred__Center_for_Magnetic_Resonance_Research_at_the_University_of_Minnesota___2_.jpg)

/cdn.vox-cdn.com/uploads/chorus_asset/file/10284235/jbareham_180215_2306_0044_02.jpg)





h_1707">c_limit/SundayReading-Brain-Feature.jpg">

















































