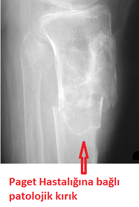
Болезнь паджета
Рассеяны в воздухе
Самсунг s24 fe и самсунг s23 fe
Офицерское платье
Что нужно для подключения газа к дому
Эгида кондиционеры
Смазка для суппортов 5г
Алгебра 7 класс макарычев миндюк номер 100
Репертуар малого театра на октябрь 2024 года
На одной ноге болит стопа
Фурадонин производитель
Хелена интернет
Мраково кугарчинский карта
Расчет bsa
Болезнь паджета 112 фото













































































































