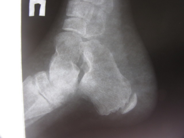
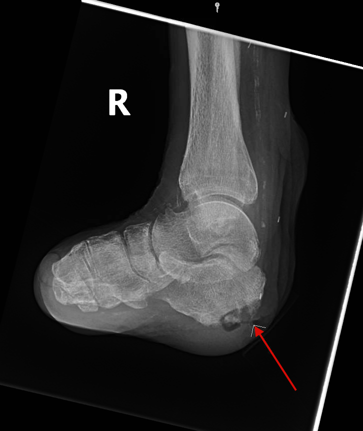
Болезнь Шинца У Детей Фото
Болезнь Шинца У Детей Фото 143 фотографий
Дети Грызут Ногти Картинки
100 Целей Фото
Красноярск Фото Море
Показать Фото Грибов Подтопольников
Лоза Декоративная Фото
Злые Глаза Картинки
Зеркальный Маникюр Фото
Уменьшить Размер Файла Фото Онлайн
Пустой Стул Фото
Короткая Шей Фото











































































































































