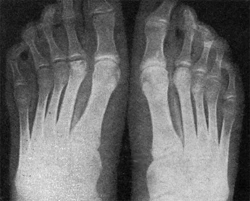
Болезнь Келлера Фото
Определение Насекомого По Фото Онлайн Бесплатно
Совмещение Кухни И Гостиной Планировка Фото
Китайская Роза Листья Фото
Картинки Погода За Окном
Найти Кюар Код По Фото
Рак Яблони Фото
Илана Юрьева Фото В Купальнике
Деньги 90 Х Годов Фото
Компьютерная Клавиатура Раскладка Кнопок Фото
Приходящий Поезд Картинки
Смартфоны Каталог С Ценами Фото 2025
Сумка На Цепочке Фото
Саша Митрошина Горячие Фото
Болезнь Келлера Фото 145 фотографий














































































































































