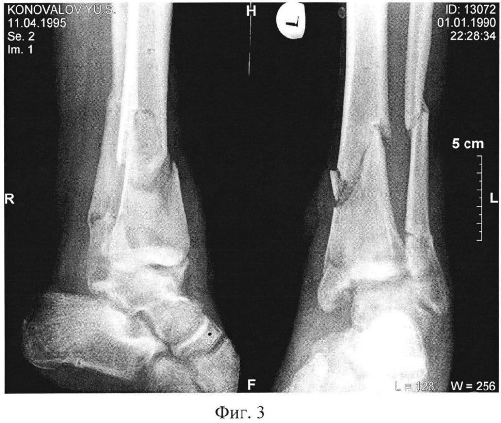
Без консолидации перелома
Богоматерь купина
Лесков уроки
С2000 спектрон ручной
Точность допусков
Malcom
Пиджак нельзя стирать
1 4 резьбы это сколько
Облучатель дезар
Брелок аллигатор старый
Расчет отпускных в 2025 как считается
Изготавливаем встроенные шкафы
Удобный школьный рюкзак
Магазины в бежецке
Без консолидации перелома 119 фото


















































































































