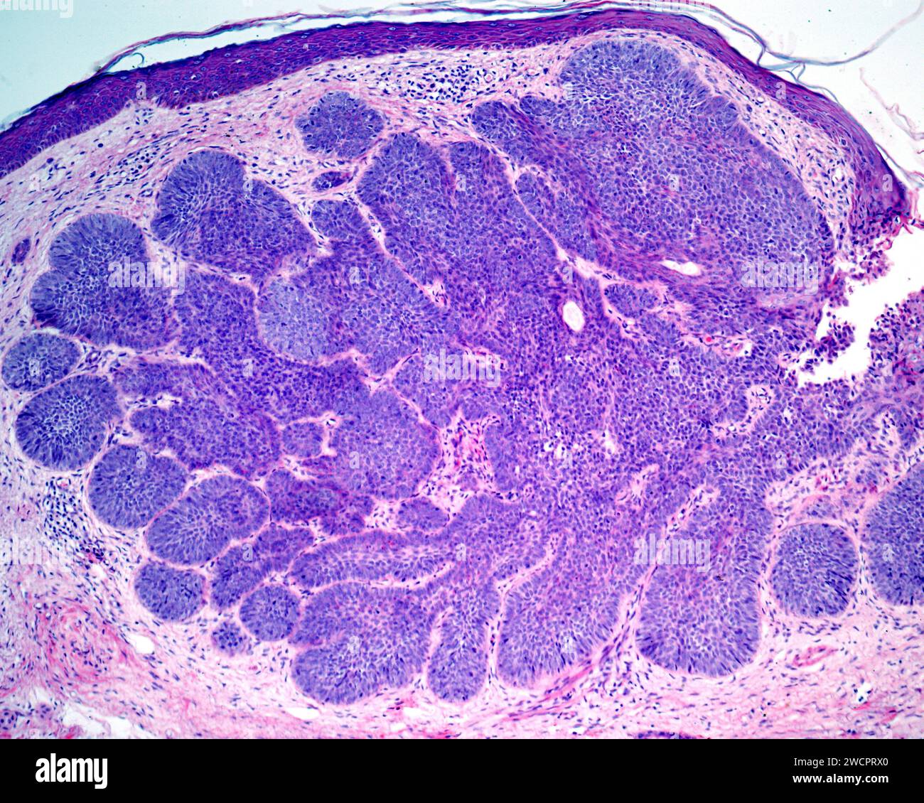
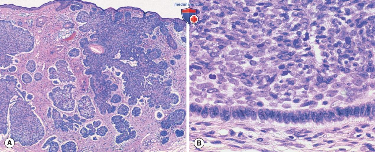
Базальноклеточный Рак Фото
Базальноклеточный Рак Фото 103 фото
На Дне Картинки Смешные
Картинки На Тему Летние Каникулы
Формы Женских Бровей Фото
Рецепт Пышных Оладьев Фото
Фото Королевы Лондона
Жировик На Половых Органах Фото
Фото Пацанов 2026
Маша Швецова В Декольте Фото
Фото Белоусова Светик Красноярск 1990 Год Рождения
Картинки Давайте Выздоравливайте



































































































