Баллистический анализ
НемедицинаПосле операции был проведен баллистический анализ с использованием спиральной аксиальной компьютерной томографии ( фото 7 – 9)
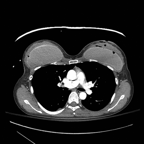
Figure 7. Аксиальная компьютерная томография (КТ) выявила входное отверстие в левой молочной железы с пулевым ходом в левом грудном имплантате, гематому и повреждение мягких тканей.

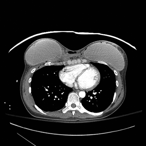
Figure 8. Аксиальная компьютерная томография (КТ) показывает, что пуля проходит по средней линии, спереди от грудины и входит в правую капсулу молочной железы.

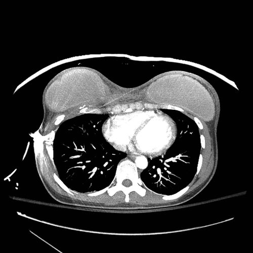
Figure 9. Аксиальная компьютерная томография (КТ), показывающая конечное положение пули в покое с артефактом и переломом ребра на правой стороне грудной клетки.

и изображений с 3D модулированием (фото 10 и 11) в сочетании с клинической оценкой поверхностных ран.
Figure 10. Трехмерное (3D) объемное изображение груди.

Figure 11. Трехмерное (3D) объемное изображение. Изображение демонстрирует входное отверстие в левой части грудной клетки (стрелка справа), путь пули с разрывом мягких тканей грудины (средняя стрелка) и пулю в правой боковой стенке грудной клетки (стрелка слева).

Реконструированные проекционные изображения демонстрируют выход пули из левого имплантата в заднюю часть правого имплантата. Также обнаружена пуля в правой грудной стенке. На основании клинической траектории входа пули и рентгенологической оценки единственным источником отклонения пули является левый грудной имплантат.