Ателектаз Легкого Фото

💣 👉🏻👉🏻👉🏻 ИНФОРМАЦИЯ ДОСТУПНА ЗДЕСЬ! КЛИКАЙ 👈🏻👈🏻👈🏻
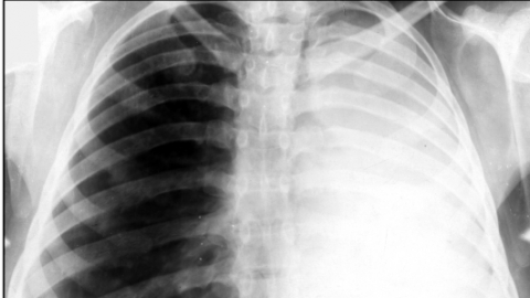
Рентген снимок легких здорового человека: как выглядит . . .
Ателектаз легкого: виды, причины, симптомы и лечение . . .
Ателектаз - это что такое? Диагностика, лечение и прогноз
Ателектаз легкого: что это у взрослого, симптомы, лечение . . .
Ателектаз легкого: что это такое? Симптомы и лечение . . .
Рентген при раке легких: фото, результаты и заключение . . .
Отек легких - симптомы, лечение, причины болезни, первые . . .
Ателектаз легкого: симптомы, причины, диагностика и . . .
Ателектаз легкого рентгенограмма - Все о простуде и лор . . .
Ателектаз легких у новорожденных - причины, симптомы . . .
Владимир Макаров Садко Фото
Газель Фото Г
Как Убрать Водяной Знак Авито С Фото
Корень легкого — это комплекс определенных анатомических структур, проходящий через ворота легкого и соединяющий легкое с органами, расположенными в средостении . . . . На фото врач . . .
Ателектаз легкого — симптомы и диагностика . Симптомы ателектаза легкого очень часто зависят от степени поражения и быстроты развития заболевания .
Компрессионный ателектаз, или коллапс, легкого . Это состояние вызывается сдавлением легочных тканей снаружи, а также скоплением в плевральной полости экссудата, воздуха, крови или гноя .
Ателектаз легкого — это спадение какого-либо участка легочной ткани, возникающее вследствие сдавливания легкого извне либо закупорки просвета бронха . . . . фото, симптомы у взрослых, лечение . . .
Ателектаз — это спадение всего легкого (коллапс) или его части вследствие нарушения вентиляции, обусловленной обтурацией бронха или сдавлением легкого .
Рентген легких при раке не всегда показывает затемнение или просветление . 1 степень злокачественной опухоли (до 5 мм диаметром) на рентгеновском снимке могут не определяться .
Фото: dementia .warwickshire .gov .uk . . . ателектаз легкого, ишемическое поражение внутренних органов . Залогом благоприятного исхода служит своевременное выявление основного заболевания, явившегося . . .
Ателектаз легкого — это патологическое состояние, при котором целое легкое или его часть спадается (происходит сближение и сжатие стенок легкого, при этом воздух из данного участка выходит) и выключается из . . .
Ателектаз легкого: на рентгеновском снимке или что это такое у взрослого, лечение дисковидной патологии или причины ее появления . Ателектаз - патологическое состояние, при котором ткань . . .
Ателектаз легкого у новорожденного относится к синдрому дыхательных расстройств . Среди общего числа всех младенцев он встречается примерно у 1 % случаев . . . . Смотрите на фото, как образуется . . .
Гена С Днем Рождения Картинки Красивые Мужчине
Скачать Осенние Картинки На Телефон Бесплатно
Санаторий Машук Фото
До Косметики И После Фото
Спальня В Синем Цвете Фото
Интерьер Обоев Для Зала Комбинированные Фото
Пошлые Фотографии 14 Летки 18
День Строителя Картинки Для Детей
Картинки Лето Игры Детей
Двусложные Слова Из Открытых Слогов С Картинками
Фотографии Черного Бмв
Скачать Фото Антона Батырев
Тетки На Отдыхе Фото
Как Сделать Картинку Без Пикселей
Соблазнительные Фото Женщин Без Одежды
Фотографии На Могилу Фото И Цены
Порно Фото Фейки Российскими Актрисами
Кирения Северный Кипр Фото
Саша Черный Фотографии Поэт
Хатия Деканоидзе Фото В Ночном Клубе
Школьная Диагностика Картинки
Форум Фото Клуб Terra Free People
Фаршированные Перцы Рецепт С Фото Пошагово
С Добрым Утром Желанный Мужчина Картинки
Операции На Нос До И После Фото
Туалет 2 Кв М Дизайн Фото
Женские Сиськи В Масле Фото
Молоденькие Голые Девки Секс Порно Фото
Фото Переводчицы Путина В 2022 Году
Герб Челябинска Фото
Фото Юных Девочек 15 Лет
Скачать Картинку Белый Тигр Бесплатно
Тротуарная Плитка В Новосибирске Фото
Легкая Музыка Фото
Бабы В Белье Домашнее Фото
Пластиковые Окна Посмотреть Картинки
Фото Обычные Обнаженные
Широкая Талия Девушек Порно Фото
Фото Полуголых Без Лица
Программа Фотографии Windows 10
Эротика Фото Брат И
Варианты Кухни 10 Кв Фото
Олег Валкман Фото
Фото Приколы Дам
Позитивные Мысли Картинки С Надписями
Всегда Найдется Друг Который Испортит Фотографию
Новые Картинки Позитив
Фото Татьяны Васильевой В Молодости
Нарощенные Ресницы Нависшее Веко Фото
Состав Числа 1 Картинки
Фото Девочки На Краю Крыши
Порно Фото Сексуальных Красоток
Цум Фото Внутри
Мох Для Орхидей Фото
Фото На Ветке На Стене
Фото Дающих Тел
Как Вставить Фотографию В Фоторамку
Прикольные Картинки Ржачные Скачать Бесплатно
Жена Сергея Безрукова Анна Матисон Фото Свадьбы
Фото Голых Волосатых В Колготках
Токсово Фотографии Поселка
Функция Живое Фото
Пилот Картинка Для Детей На Прозрачном Фоне
Олег Царев Фото
Фото Милфа Трах
Скачать Картинки Закрытая Школа
Сенсей Рамки Для Фото
Блюдо Басма Рецепт С Фото Пошагово
Моделью Аленой Гавриловой Фото
Пятна На Головке Члена Фото
Как Выглядит Йорк Фото
Кроссфит Кызыл Адрес Фото
Таблетки Пропиздон Фото
Ли Восстановить Удаленные Фотографии На Андроиде
Фиалка Рыжий Ап Фото
Нарисованные Картинки Дух
Фото Голых Телок На Корточках
Не Будь Злым Картинки
Голые Женщины В Чулках Частное Фото
Живое Фото Спермы
Минск 1941 Фото
Павел Худяков С Женой И Детьми Фото
Как Называются Картинки В Сообщениях
Попки 14 Летних Фото
Интерьер Однокомнатной Квартиры 35 Кв Фото
Картинки Png Монстры
Спасибо Картинки Красивые Бесплатно Гифки
Картинка Дирижабль Для Детей На Прозрачном Фоне
Полные Школьницы Раздвинула Ножки Картинки
Самый Большой Аквапарк Фото
Куликова Поле Фото
Руккола Фото И Описание Полезные Свойства
Кухонные Пеналы Фото Цена
Плотниково Новосибирская Область Фото
Карлик Помидора Фото
Романтические Картинки На Ночь Мужчине На Расстоянии
Коламбия Куртка Для Мальчика Зима Фото
Сергей Куренков Биография Семья Жена Дети Фото
Фотографии Голых Нудистов
Хэллэрегез Ничек Картинки Прикольные На Татарском
Ателектаз Легкого Фото





/24_u/24_u.jpg)






















































































