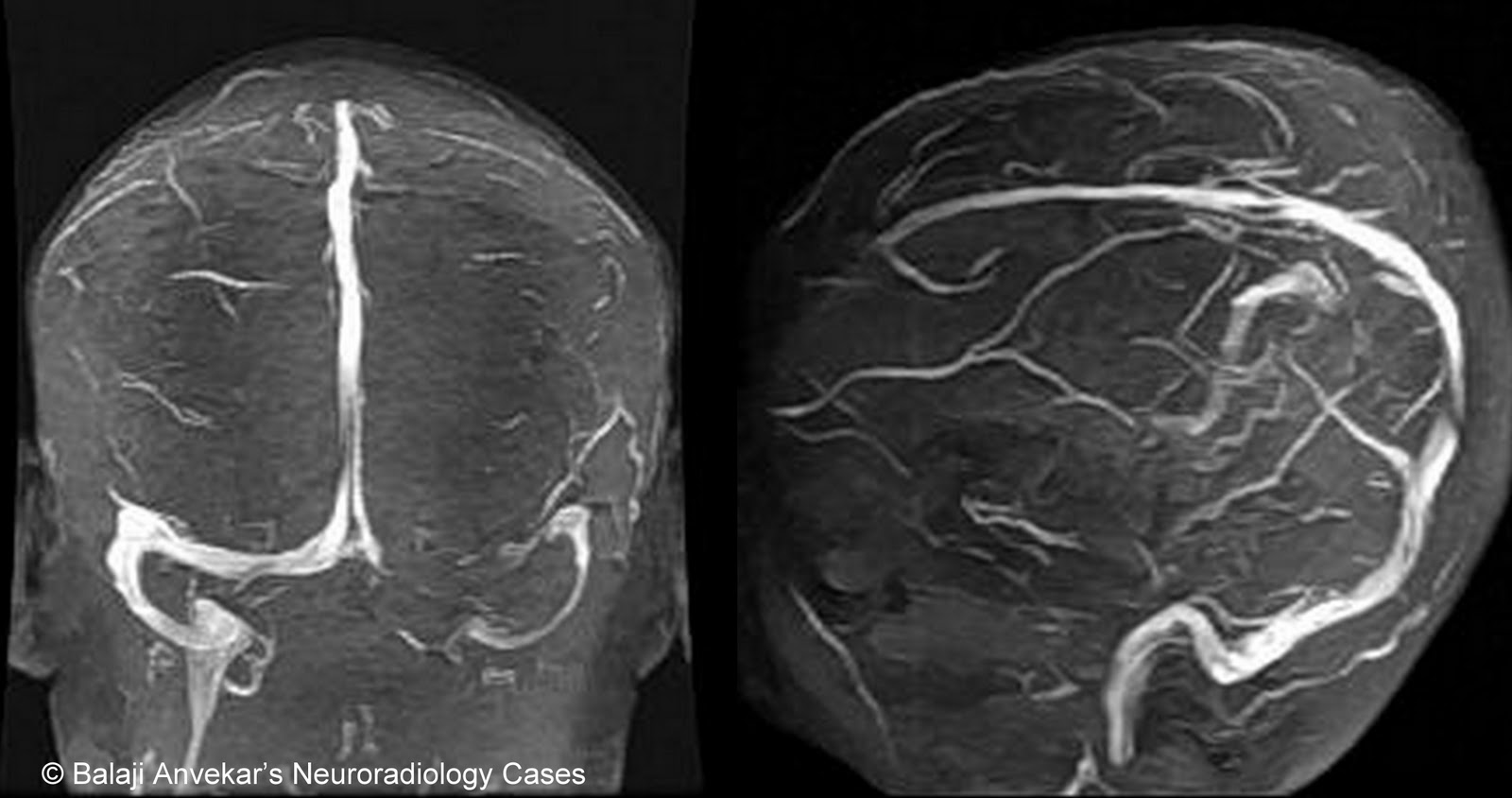
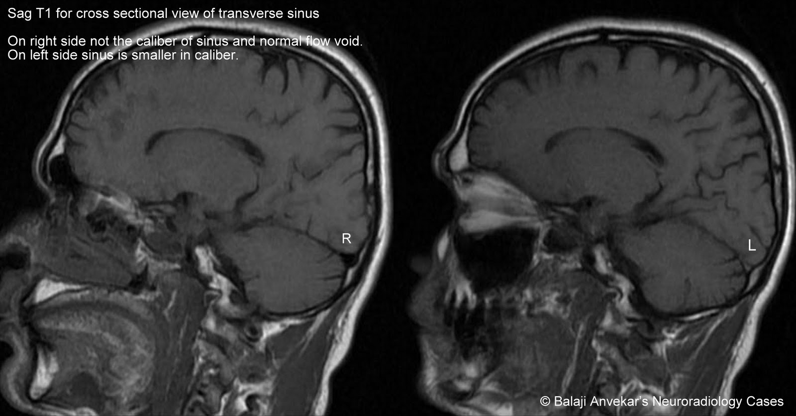
Асимметрия поперечных синусов что это
Тон с эффектом сияния
Пробит кабель в стене
Акция первому покупателю
Триангл т501
Налоги пенсионерам инвалидам 1 группы
Колледж искусств для одаренных детей севера
Via docs
Ayollar uchun ish sergeli
Все песни подряд вахтанг кикабидзе
Где находится гуляла
Lg flash tool
В высоком пламени июля какое художественное средство
Снять комнату бассейная
Асимметрия поперечных синусов что это 111 фото












































































































