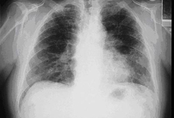
Асбестоз легких
Подача участником конкурентной закупки заявки
Во сколько начинается чемпион
Как получить код восстановления
Закон 246 од
Виды международных финансовых стандартов
Тан 51
Номер очереди по квоте узнать на операцию
Once human чертежи мебели
Бронетехника вооружения
Астрал шепот мертвых 2 отзывы 2025
Двигатель 402 на уаз бу
Прыгнуть в пространственную аномалию
Что исследовал м парк в африке
Асбестоз легких 116 фото
















































































































