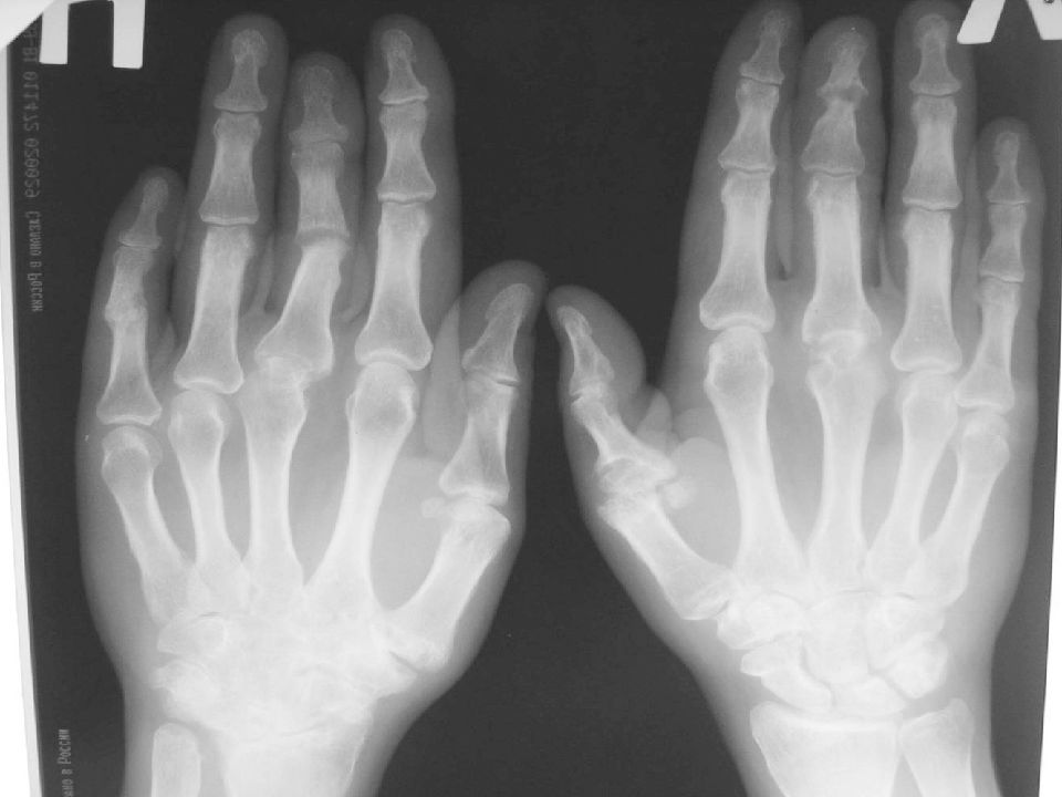
Артрит Пальцев Рук Фото Рентгена
Фото Гороха
Хинкали Фото
Путин Владимир Владимирович Фото 2025 Год
Ангстрем Кухни Воронеж Фото
Цум Фото Внутри Магазина
Полина Давыдова Сержант Фото
Герб Тулы Фото
Диваны В Грозном Фото И Цены
Любовные Картинки Без Лиц
Дом Офицеров Волгоград Фото
Профессиональное Фото Брови
Кирицы Санаторий Официальный Сайт Фото
1 Помощь Незнакомым Людям Опишите Фотографию
Артрит Пальцев Рук Фото Рентгена 136 фотографий





































































































































