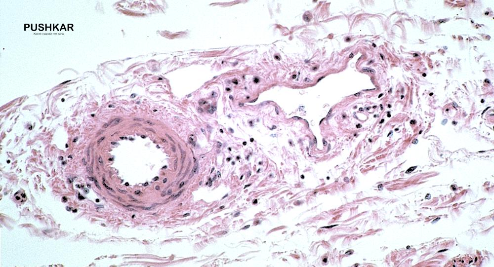
Артериола препарат гистология
Расположите города в подходящем порядке
Условный рефлекс прочным если условный раздражитель
Прилагательное главное слово наречие зависимое
Привести примеры названия балета
Морфологический анализ имени существительного землям
Старокубанская 92 краснодар
Складки кожи на руках
Тесты для пилотов гражданской
Рр4 обезьянка
Гадание таро бесплатное на сентябрь 2025 год
Fox in car
Индюшачьи гузки
Saeco premium
Артериола препарат гистология 105 фото






































































































