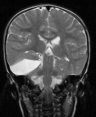
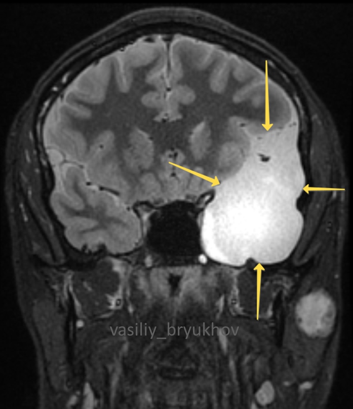
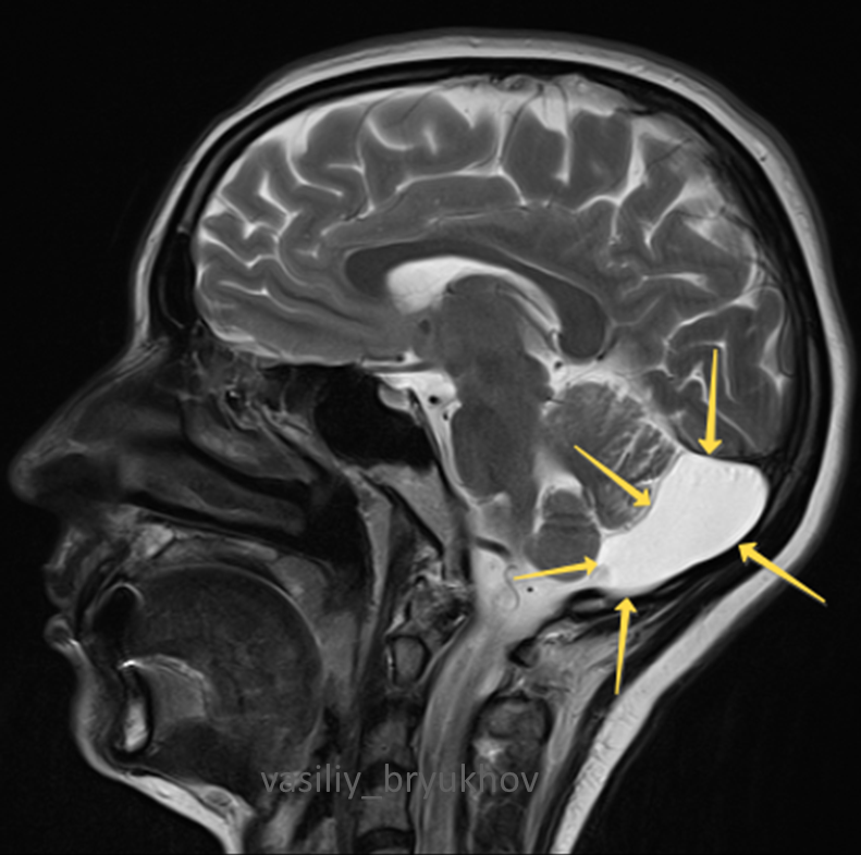
Арахноидальная киста операция
Арахноидальная киста операция 114 фотографий
Эффективный руководитель конкурс
Не надо дядя коля
Расстояние вертикальной лестницы от стены
Заявление на страховое возмещение ингосстрах
Фамилия главного героя сын полка
Рецепты супов с цветной капустой мясом
Как размотать трубу теплого
Что такое храбрость сочинение 13.3 по тексту
Люди с ушками и хвостами
Проект музей путешествий окружающий мир третий класс














































































































