Аномалии положения зубов

👉🏻👉🏻👉🏻 ВСЯ ИНФОРМАЦИЯ ДОСТУПНА ЗДЕСЬ ЖМИТЕ 👈🏻👈🏻👈🏻
Аномалии положения зубов - симптомы болезни, профилактика . . .
Аномалии положения зубов - medbe .ru
Аномалии положения зубов: лечение, симптомы, этиология . . .
АНОМАЛИИ ПОЛОЖЕНИЯ ЗУБОВ
АНОМАЛИИ ПОЛОЖЕНИЯ ЗУБОВ
Аномалии зубов - причины, симптомы, диагностика и лечение
Классификации аномалий положения зубов в ортодонтии
Виды аномалий зубного ряда и способы их лечения
Аномалии положения зубов в сагиттальном направлении
Код Мкб K07 .3 | Аномалии Положения Зубов | Международная . . .
Реферат Виды Плавания
Отношение обычного права к законодательству
Малый Бизнес Курсовые Работы
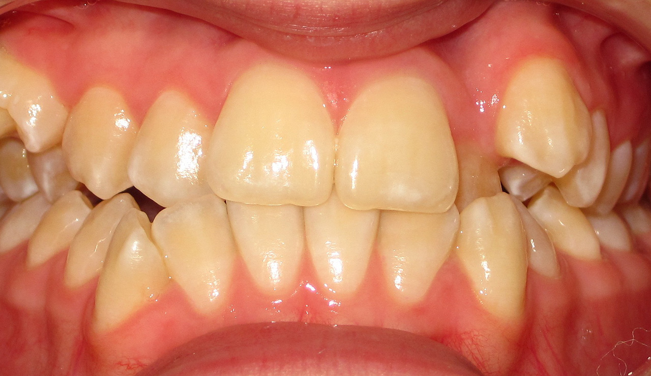
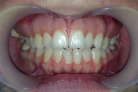
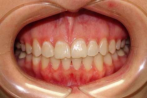
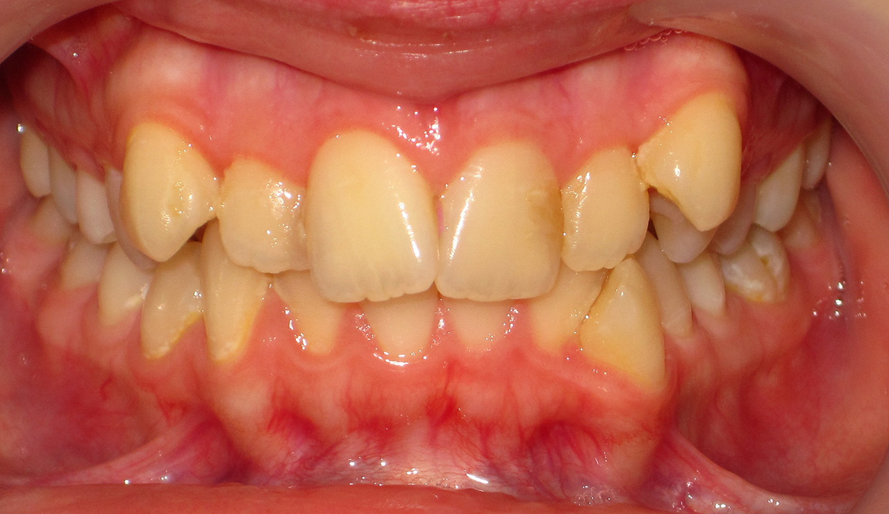
Причины аномалии положения зубов многообразны: нарушения роста челюстей, процесса развития и смены зубов, атипичная закладка зачатков зубов, резкое несоответствие …
Аномалии положения зубов в вертикальной плоскости определяют по отношению к окклюзионной плоскости . К ним относят супрапозицию верхних зубов и супрапозицию нижних …
Общее описание . Под аномалией положения зуба понимается несоответствие его текущей топики оптимальному местоположению в зубном ряду . Этот термин распространяется …
Риск аномалий положения зубов повышает грудное вскармливание, преобладание мягкой пищи, травмы зубов или их ранее удаление .
АНОМАЛИИ ПОЛОЖЕНИЯ ЗУБОВ . Аномалийное положение зубов может быть вестибулярным, оральным, мезиальным, дистальным, а также супра- и инфраположения, тортоаномалия …
Аномалии зубов - это различного рода морфологические и функциональные отклонения от нормального количества, размера, формы, цвета, положения, сроков прорезывания …
Перечень Энгля включает также несколько типов аномалий положения отдельных зубов: буккальный; лингвальный;
Аномалии молочных зубов встречаются реже, чем нарушение зубной дуги с постоянными зубами . Причиной тому является «выталкивание» молочных зубов новыми …
Протрузия передних зубов относительно фронтальной (орбитальной) плоскости головы возникает в результате задержки смены молочных резцов, наличия сверхкомплектных зубов …
K07 .3 . Аномалии положения зубов . Скученность } Диастема } Смещение } Поворот } зуба (зубов) Нарушение межзубных } промежутков } Транспозиция } Ретенирование или …
Произведения О Войне Эссе
Система Образования В Великобритании Реферат
Контрольная Работа На Тему Правоохранительные Органы Зарубежных Стран
Контрольная работа: Калининский район Уфы. Скачать бесплатно и без регистрации
Предмет И Метод Права Социального Обеспечения Курсовая
Реферат по теме Фотопроводимость твердых тел. Фотоэлектрические эффекты
Курсовая Работа На Тему Трансферт Технологий В Иновационной Деятельности
Реферат: John 1 15 Exegesis Essay Research Paper
Реферат Работа Пожарным
Реферат: Учет расчетов с бюджетом
Дипломная работа по теме Налоговая система Республики Казахстан, становление и перспективы ее развития
Курсовая работа: Статистико-экономический анализ уровня и эффективности производства продукции животноводства
Контрольная работа по теме Психология межличностных отношений
Микропроцессорные Системы Управления Двигателем Курсовой
Сочинение Рассуждение В Формате Задания 15.1
Реферат по теме Преимущества и возможности медиации
Реферат На Тему Лицензирование И Производство Горюче-Смазочных Материалов
Дипломная работа по теме Специфика реабилитационной работы с инвалидами
Курсовая работа по теме Французский рысак
Контрольная работа: Таможенный режим, его суть и виды
Проблемы Совокупного Спроса В Современной России Эссе
Курсовая Работа По Психологии Цена
Реферат: Криміналістична ідентифікація
Дипломная работа по теме Формирование идентичности в подростковом возрасте
Клише Для Сочинения Егэ По Литературе 2022
Характеристика Работы Студента По Месту Прохождения Практики
Курсовая работа: Отказничество от детей глазами школьников
Эффективность Персонала Курсовая
Автореферат На Тему Criticism Of Vladimir Propp’S Theory On Genesis Of Magic Fairy Tales’ Structure
Юридический Процесс Диссертация
Пример Написания Сочинения Забвению Не Подлежит
Курсовая работа по теме Исследование конфликтогенов в коллективе. Способы снижения уровня конфликтности
Реферат: Гольдшмидт и Хаксли: концептуальные и экспериментальные параллели
Курсовая Работа На Тему Фінансовий Аналіз Зат "Меблевик"
Контрольная работа по теме Оцінка та управління вартістю підприємства 'Гірничо-збагачувальна фабрика'
Контрольная работа: Генералиссимус А. В. Суворов
Дипломная работа по теме Совершенствование управления коммерческим предприятием (на примере ООО 'Корона')
Реферат: Методические рекомендации по организации работы комиссии по соблюдению требований к служебному поведению государственных гражданских служащих и урегулированию конфликта интересов в органах государственной власти и иных государственных органах Настоящие ме
Курсовая Работа На Тему Современное Состояние Земельных Отношений В Южно-Казахстанской Области
Сочинение С Элементами Описания Моя Комната
Реферат: Принципи міжнародного екологічного права
Курсовая работа: Проявление агрессивности подростков . Скачать бесплатно и без регистрации
Современные Сетевые Устройства Реферат
Реферат: Повышение эффективности труда
Сочинение Тришкин Кафтан 6 Класс
Реферат по теме Измерение параметров радиолокационного сигнала
Реферат по теме Рекомендации по организации рекламы товаров и услуг
Описание Хохломской Ложки Сочинение 6 Класс
Можно Ли Начинать Итоговое Сочинение С Вопроса
Реферат: Ban Smoking In Public Places Essay Research
Контрольная работа: Способы правового регулирования
Отдых На Природе Сочинение На Английском
Написание Курсовых Vk Com Napisanie Rabot2022
Электроимпульсная Терапия Во Время Реанимационных Мероприятий Реферат
Курсовая работа по теме Анализ и оценка эффективности использования основных средств (на примере УП 'Гомельское отделение Белорусской железной дороги')
Курсовая работа по теме Реструктуризация имущественного комплекса ООО 'Энерготранс'
Реферат: Рекреационный потенциал и перспективы развития туризма Республики Алтай. Скачать бесплатно и без регистрации
Актуальные Темы Диссертаций По Педагогике
Курсовая работа: Действие антиоксидантов на организм. Скачать бесплатно и без регистрации
Реферат На Тему Экологическая Общественная Экспертиза
Реферат: Проблемы реализации права на доступ к правосудию при предъявлении иска
Реферат по теме Эмоции: их виды и функции
Реферат: Мифы в волшебных сказках
Курсовая Работа Расчет Двигателя
Реферат: Банковские резервы и их состояние
Отзыв О Романе Обломов Сочинение
Реферат На Тему Внешнеэкономическая Политика России
Дипломная работа по теме Гражданско-правовой договор: общая характеристика
Дипломная работа по теме Управление затратами в организации с целью снижения себестоимости продукции (на примере СООО 'ГОФ 'Труд-Стецкевич-Адамантан')
Дипломная работа по теме Конкурентный анализ и ценовое позиционирование на рынке смартфонов
Контрольная Работа По Физике Строение Вещества
Курсовая работа по теме Нормирование точности и технические измерения
Реферат: Вышивка. Скачать бесплатно и без регистрации
Курсовая работа по теме Найти минимум функции n переменных методом Гольдфарба
Прибыль И Доходы Реферат
Реферат: Charles V Essay Research Paper
Курсовая работа: Управленческие решения в процессе менеджмента
Как Делать Приложения В Курсовой Работе
Курсовая работа: Стратегические установки административных реформ западных стран
Сочинение По Тексту Москвина
Внешний Вид Эссе
Урок Рф Итоговое Сочинение
Доказывание Уголовный Диссертация
Курсовая работа по теме Анализ взаимосвязи актива и пассива баланса
Реферат по теме Генерация комбинаторных объектов
Реферат по теме Краткая характеристика свободных зон России, Украины
Реферат: Еще раз о понимании: герменевтика и «панпсихизм»
Реферат: Опыт экономических реформ за рубежом
Сочинение Рассуждение По Высказыванию Ломоносова
Контрольная Работа На Тему Теория Обучения
Курсовая работа по теме Принятие решений в условиях риска
Курсовая Работа Макароны
Доклад: Сибирская язва
Дипломная работа по теме Организация системы стимулирования персонала автоконцерна 'Тойота'
Дипломная работа по теме Разработка web-приложения и базы данных интернет-магазина
Отчет по практике по теме Администрация городского округа города Фролово по управлению имуществом, землепользованию, архитектуре и градостроительству
Контрольная работа: Релігія як сфера духовної культури: структура та функціональне покликання
Эссе Любовь К Родине
Методы эмпирического и теоретического познания
Реферат На Тему Компьютерные Сети И Интернет
Аномалии положения зубов


























h_454">al_c">q_80">usm_0.66_1.00_0.01/9ea2e0_4525b0ac0de74db093f7a0786362e646~mv2.webp">





















































