Афлиберцепт Луцентис

⚡ 👉🏻👉🏻👉🏻 ВСЯ ИНФОРМАЦИЯ ДОСТУПНА ЗДЕСЬ, КЛИКАЙ 👈🏻👈🏻👈🏻
Луцентис - цена, инструкция, отзывы
Луцентис - инструкция по применению, аналоги, отзывы и цена
Луцентис - аналоги и заменители последнего поколения
Афлиберцепт пригоден для терапии диабетической ретинопатии . . .
💉 Луцентис . . . - Центр диагностики и лечения сетчатки глаза . . .
АЙЛИЯ флакон 40 мг / мл * 1 (EYLEA vial 40 mg / ml * 1 . . .
Интравитреальные инъекции
Возрастная макулодистрофия: «Луцентис» пока не победим
Макулярный отек - причины, симптомы, лечение
Анти-vegf Терапия / А / Словарь Терминов
Забеременеть После Приема Линдинет 20
Лизиноприл С Мочегонным Название
Лизиноприл Амлодипин Комбинация
Действующее вещество данного препарата - афлиберцепт . Данное средство было одобрено для терапии патологии глазного дна в 2011 году . Показания к применению сходи с таковыми у Луцентиса . Особенностью данного средства является его способность связывать не только эндотелиальный сосудистый фактор роста, но и плацентарный фактор роста .
Луцентнис - раствор для внутриглазных инъекций . Инструкция по применению, аналоги, цена, действие препарат и отзывы пациентов .
Данный препарат относится к самым дешевым аналогам Луцентиса . Действующее вещество - афлиберцепт . Препарат используют в офтальмологии с целью предотвращения развития новообразований сосудов . Лекарство вводят в стекловидное тело для получения местного эффекта .
Интравитреальный афлиберцепт (aflibercept), работающий как растворимый рецептор-ловушка, связывает фактор роста эндотелия сосудов A (VEGF-A) и фактор плацентарного роста (PIGF) с более высокой аффинностью, чем их естественные рецепторы, тем самым подавляя активацию данных представителей VEGF-семейства ангиогенных факторов .
Луцентис (ранибизумаб) и Эйлеа (афлиберцепт) - два наиболее распространенных из . . .
Активното вещество е: афлиберцепт . Една предварително напълнена спринцовка съдържа 90 микролитра, еквивалентни на 3,6 mg афлиберцепт .
Луцентис (Ранибизумаб) и Эйлеа (Афлиберцепт) - современные и эффективные, на сегодняшний день, препараты, предназначенные для лечения нарушений зрения, вызванных патологией макулы и сетчатки . У многих пациентов лечение позволяет стабилизировать зрение . Некоторые пациенты отмечают улучшение зрения уже через неделю после инъекции .
Всего же сумма сделки потенциально превышала 1 млрд долларов . У «Новартис» уже есть права на торговлю «Луцентис» вне Соединенных Штатов .
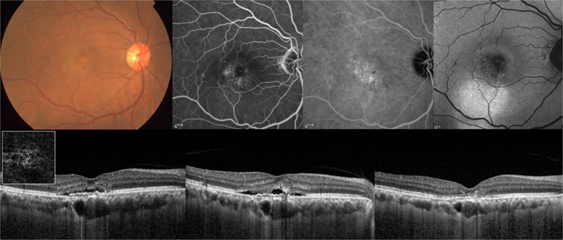
При экссудативной форме возрастной макулярной дегенерации основное лечение макулярного отека глаза сводится к интравитреальным инъекциям ингибиторов эндотелиального фактора роста (Авастин, Луцентис, Афлиберцепт), что приводит к обратному развитию вновь . . .
Ранибизумаб (Луцентис, Lucentis) Данный ингибитор VEGF был специально разработан для применения в офтальмологии . В 2006 г . препарат разрешен Food and Drug Administration (FDA) для лечения неоваскулярной (влажной) возрастной дегенерации макулы .
Лавакол Цена В Аптеке Курган
Деринат Для Горла Цена
Релиф От Кровотечения При Геморрое Какой Лучше
Де Перинева Таблетки
Кленил Удв Для Ингаляций 800
Сальбутамол Лекарственная Форма
Эзетимиб Оригинальный
Средство От Цистита Цистон
Миролют Прерывание
Ципралекс 10 Мг 28 Шт
Синафлан Против Аллергии
Флемоксин Цена 500 Мг Цена Инструкция
Для Чего Нужны Таблетки Дюспаталин
Гексаспрей При Беременности 3 Триместр
Хилак Форте Фармакологическая
Пепидол Аналоги Дешевле
Ионизированный Кальций Повышен Витамин Д Понижен
Фарестон Побочные Эффекты У Женщин
Декарис Детский От Глистов
Тулип Таблетки 10 Мг 90 Шт
Что Безопаснее Рабепразол Или Пантопразол
Юниэнзим Индия
Феназепам На Дом Москва
Свечи Витапрост Форте Цена СПб
Сколько Супрастина Собаке
Люголь Виалайн Спрей Цена
Чем Отличается Смекта
Тилорон Сз При Коронавирусе Отзывы
Проктоседил Свечи Цена Чебоксары
Таблетки Ивабрадин Канон
Вентолин 2 Мл
Кальций И Магний Придают
Нимесулид И Атаракс Совместимость
Ибупрофен Обезболивающее
Спазмекс Цена Аналоги
Эуфорбиум Отзывы Беременных
Совместимы Ли Приемартмидекс И Капельно Дексаметазон
Раствор Метотрексата 10мг
Таблетки От Желудка Гевискон
Табекс Сердце
Гинкго Настой
Линекс Микрофлора
Скин Кап Шампунь
Тобрекс Отзывы
Пикамилон Инструкция По Применению Отзывы Пациентов
Фемибион 2 Цена В Актау
Выпила Постинор Вторую Таблетку
Магний Диаспорал Для Детей
Мак Севорана
Престариум Накопительного Действия Или Нет
Спирива Респимат 2.5 Ингалятор
Цифран И Левофлоксацин Отличие
Мельдоний Стоит
Тантум Верде Для Детей Способ Применения
Сумамед 500 Челябинск
Ингавирин В Интернет Аптеке В Дубне Цена
Раствор Гидрокарбоната Натрия Для Внутривенного Введения
Пирацетам Цена Ампулы 10
Леркамен Назначение
Кальций И Медь
Силденафил С3 Аналоги Заменители Цены
Драмина Побочные Эффекты
Янумет 1000 Инструкция
Йодомарин Пустышка
Для Чего Нужен Хлоропирамин
Кордафлекс Отзывы Пациентов Принимавших Препарат И Врачей
Однопроцентный Лидокаин
Соталол Озон Отзывы
Цена Линекса В Аптеках 32 Капсулы
Фолиевая Кислота Противопоказания К Применению
Дипиридамол 25мг Цена
Гордокс Доза Для Собак
Телмиста 80 Цена Ростов На Дону
Гептрал Аналог В Испании
Стодаль Береза Поддерживающий Курс
Лавакол Вышло
Клотримазол Свечи Краснодар
Витапрост Таблетки Что Лечат
Ноопепт Аналоги Препарата
Флуоксетин Промед Инструкция
Действие Препарата Гептрал
Мометазона Фуроат В Нос
Глиатилин В Капсулах В Санкт Петербурге
Когда Начинает Действовать Новаринг После Введения
Оземпик Входит В Жнвлп
Каптоприл Фпо При Каком Давлении
Ангина Граммидин С Анестетиком
Цефекон П
Клиндамицин Суспензия Для Детей Цена
Левофлоксацин Казахстан
Аптека Живика Омепразол
Юнидокс Солютаб Упаковка
Галоперидол 50 Мг Мл
Эсциталопрам Эффект
Тетурам Цена В Новосибирске
Супракс Суспензия Для Детей Способ Приготовления
Пластырь Вольтарен Цена В Белой Калитве
Бисопролол И Ибупрофен Совместимость
Витамин Д3 Анти Эйдж Эвалар
Мексидол Уколы 2 Мл 10
Афлиберцепт Луцентис
























































































