Абсцесс Печени Фото

💣 👉🏻👉🏻👉🏻 ИНФОРМАЦИЯ ДОСТУПНА ЗДЕСЬ! КЛИКАЙ 👈🏻👈🏻👈🏻
Абсцесс печени - причины, симптомы, диагностика и лечение
Абсцесс: скачать картинки, стоковые фото Абсцесс в хорошем . . .
Абсцесс печени: причины, симптомы и лечение
Абсцессы печени
Амебный абсцесс печени: симптомы, лечение и диагностика . . .
Правильное питание при абсцессе . Полезные и опасные . . .
Абсцесс печени: диагностика, лечение, профилактика и . . .
Болезни печени: первые симптомы и лечение в домашних условиях
Абсцесс мягких тканей - причины, симптомы, диагностика и . . .
PUB Очаговые образования печени . Доброкачественные опухоли .
Морская Набережная Санкт Петербург Фото
Бесплатные Порно Фото Полных Зрелых Женщин
Дарья Платонова Фото
Абсцесс печени . Симптомы . Диагностика . Что делать при диагнозе абсцесс печени . Консервативное лечение и операции . Платные и бесплатные клиники, в которых лечится абсцесс печени .
Абсцесс: cтоковые фото, картинки, изображения по лицензии роялти- . . . Скальпель и медицинские перчатки возле печени и поджелудочной железы модели . Хирургическое лечение заболеваний . . .
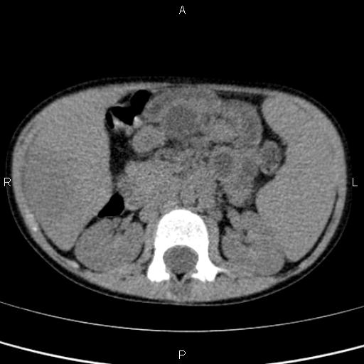
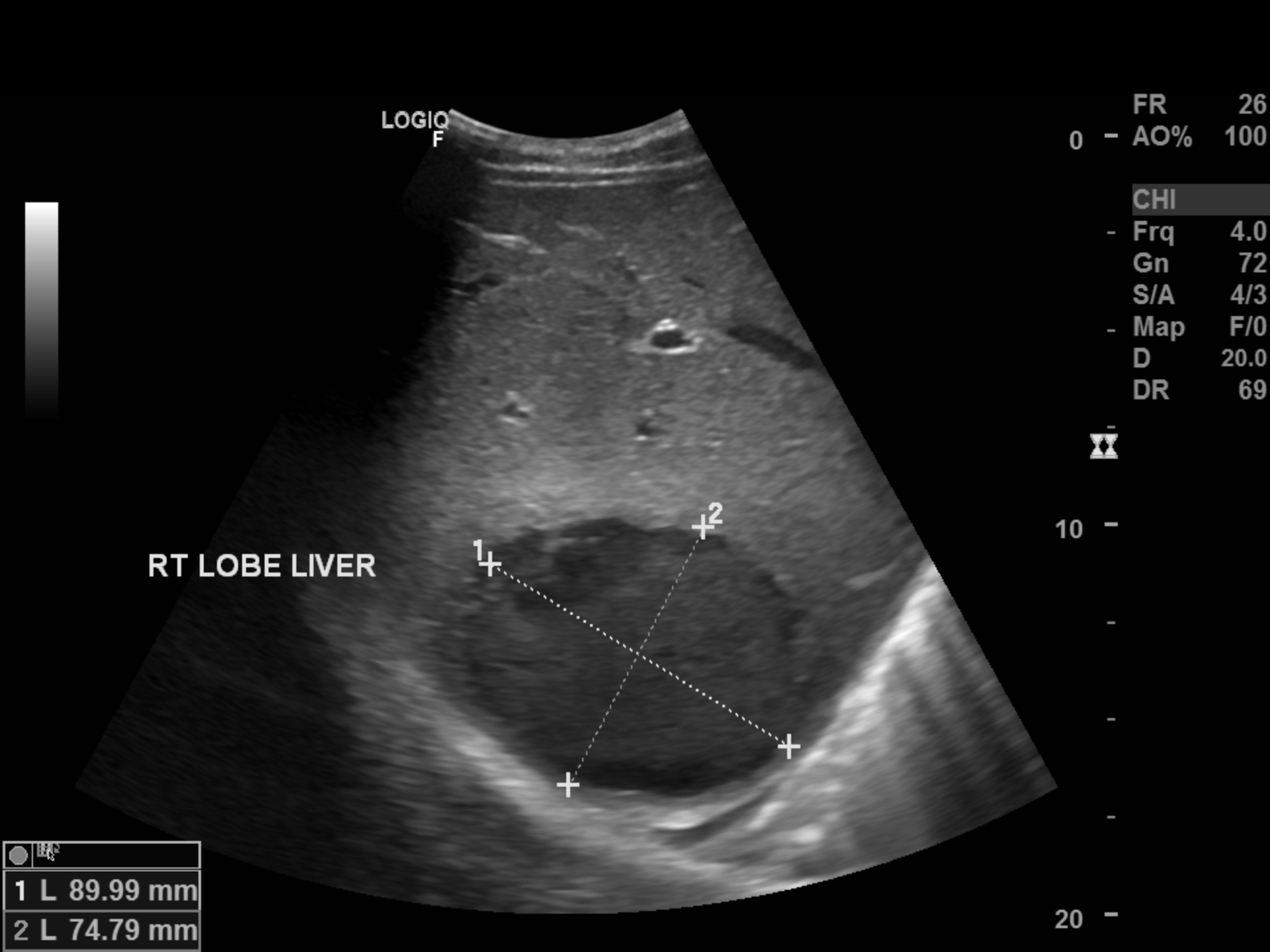
Абсцесс печени — заболевание, возникающее в результате гнойного воспаления тканей печени, их отмирания и образования полости, заполненной гноем . . . . фото, признаки и лечение . . .
К75 .0 . Абсцесс печени . А06 .4 . Амёбный абсцесс печени . Патология По морфологическим характеристикам выделяют солитарные, множественные и милиарные абсцессы печени .
У мужчин в возрасте 30 лет амебный абсцесс печени диагностируется в 7 раз чаще, чем у женщин . Амебы могут попасть в организм человека только энтеральным путем - вместе с инфицированной едой .
абсцесс печени и органов ЖКТ: приправы с острым вкусом (горчица, хрен, вассаби, кетчуп, соевый соус) жирные и жареные продукты, сдобу; капусту, маринады и соления . . . . Фото Карла Уорнера ↓ . . .
Абсцесс (от лат . abscessus — «гнойник», «нарыв») печени представляет собой единичное или множественное очаговое воспаление с образованием в ткани печени одного или нескольких опухолевидных . . .
Все заболевания печени можно поделить на несколько типов: вирусные (гепатиты b, c, d), бактериальной и паразитарной природы (туберкулез, абсцесс, альвеококкоз, эхинококкоз, аскаридоз . . .
Абсцесс мягких тканей . Симптомы . Диагностика . Что делать при диагнозе абсцесс мягких тканей . Консервативное лечение и операции . Платные и бесплатные клиники, в которых лечится абсцесс мягких тканей .
www .volgogradru .com › theme › medic › hirurgiya › obschaya_hirurgiya › 93428 .pub
Абсцесс печени также может возникнуть после ранений, травм или операций . Клинические проявления: лихорадка, боли в правом подрёберье и правой боковой области, слабость, потливость .
Белгород Википедия Фото
Фото Секс Городе
Мужские Джинсы 2022 Фото
Порно Фото Женщин 40 В Чулках
Фото Ул Народная
А4 Бумага Влад Фото С Девушками
Фото Невесты В Полный Рост
Что Делаешь Картинки Прикольные С Надписью
Продают Игрушки Фото
Перец Толстячок Отзывы Фото
Картинка Тока Бока Разукрашивать
Спаси Дерево Картинки
Программа Нейросеть Генотек Для Улучшения Фото
Фото Работ Ванной Комнаты Плитка
Картинки С Двух Сторон
Голые Пизды Женщин 50 Фото
Красивые Картинки На Телефон На Заставку Ватсап
Грустный И Веселый Клоун Картинка Для Детей
Фото Женщина 40 Лет Без Трусов
Гагра Отдых Фото
Совмещенный Санузел 3 Кв М Фото
Картинки Голая Лиза Симпсон
Крутые Лада Фото
Картинки Похудение И Фитнес Мужчина И Женщина
Юлия Михалкова Фото Ххх
Участники Твайс Имена С Фото
День Ходьбы Уфа Фото
Языческое Солнце Картинки
Фото Голых Красивых Сестры
Глюкоза Певица Горячее Фото 18
Картинки Счастья Вашему Дому И Семье
Розмарин Ягоды Фото
Бесплатное Фото Дана Борисова
Картинки Дружба Крепкая
Божья Матерь Семистрельная Фото
Яблоко Медок Фото
Скачать Картинку Блондинка Со Спины
Катя Недорезова Фото
Веселые Горки Картинки
День Вдв Фото Поздравления
Олимпия Тюмень Фото
Александр Шилов Фото
Зверобой Трава Лечебные Свойства И Противопоказания Фото
Размеры Фото Бывают
Семейные Фото Прилучного
Том Круз Последние Фото 2022 На Матче
Чертополох Полезные Свойства И Применение Фото
Картинки Под Музыку
Смотреть Фото Девушек Улица
Фото Со Животное
Памятники Ижевска Фото С Названиями И Описанием
Бесплатно Скачать Картинки Женские Стрижки
Картинки Для Ватсапа Красивые Для Женщины
Фото Эротика Бесплатно Женщины За 50
Муж Смотрит Фото Голых Баб
Бочки Пластиковые Фото
Прикольные Деревенские Картинки С Добрым Утром
Морские Обитатели Фото Картинки В Море Египта
Красивые Фотографии Для Срисовки
Болезни Винограда Картинки С Описанием
Область Москвы Фото
Лучшие Фото На День Рождения
Как Сделать Модную Обработку Фото
Фото Игрушки Индоминуса Рекса
Морфеус Две Таблетки Фото
Маска В Стразах Фото
Новые Районы Санкт Петербурга Фото
Пышки Стоящие Раком Фото
Заказать Куб С Фотографиями Уфа
Мазда Спорткар Rx 8 Фото
Сериал Дикий Фото Актеров
Гортензия Пинк Энд Розе Фото И Описание
Сергей Лавров В Молодости Фото С Женой
Сделать Разрешение Картинки Онлайн
Слив Фото Голой Одноклассницы
Мустай Карим Лайнер Фото
Тюльпан Королева Ночи Фото
Фото Комнат С Панорамными Окнами
Фото Кружки Чая Дома
Переводчик На Английский Рисовать Картинку
Пошлые Картинки Vk
Фото Магнитогорска Со Спутника
Страшные Аниме Картинки
Волосатый Анус Геев Фото
Просто Картинки Утра
Анджелина Джоли Горячие Фото 18
Солнце Картинки С Текстом
Павел Владимирович Фото
Кирилл Иванушки Интернешнл Фото
Поздравления С Днем Рождения Коллеге Картинки Стильные
Екатерина Савинова Причина Смерти Фото
Деревенские Хаты Фото
Муму Читать С Картинками
Жена Актера Лагашкина Фото
Салат С Печенью Трески Фото Рецепты
Телевизоры Фото Новинок
Язык Глухонемых Для Начинающих В Картинках
Фото Кухни 9 Кв М В Квартире
Осенние Фото С Кофе На Улице
Кожаные Куртки Цены Фото
Абсцесс Печени Фото













/13_2.jpg)







































/90/90.jpg)



































/14.jpg)

