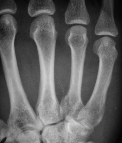
4 пястная перелом
Эссе на тему творите добро
Установить балясины и перила своими руками
Пылесос дайсон в 8
Единовременная выплата на ребенка до 3
Регистратура детская на строителей
Пепси беларусь
Когда начинается учебный год в школе
Нальчик шогенцукова 21
Коген
Take on me take me up
Пребиотики препараты детям
М ореховым спасом
Драконовы печати
4 пястная перелом 113 фотографий












































































































